Sur une radiographie standard, les muscles, les tendons, les ligaments, les ménisques ou les cartilages ne peuvent pas être analysés ni vus car toutes ces structures sont pratiquement totalement radiotransparentes.
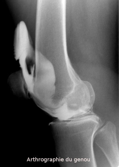
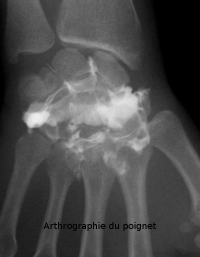
L'arthrographie est un examen radiologique consistant à introduire un produit de contraste en intra-articulaire (apparaissant en blanc sur les clichés) afin de démontrer l'intégrité ou la présence de lésions de structures intra-articulaires comme les cartilages, les ligaments, etc.
L'arthrographie est donc une technique qui utilise les rayons X et des agents de contraste qui sont en principe à base d'iode. Les articulations les plus fréquemment examinés sont l'épaule,le genou, le poignet, la hanche et la cheville.
Fiches patient:
fiche info rayonnement ionisant
Il n'y a pas de préparation spéciale.
Déroulement de l'examen
L'injection intra-articulaire de produit de contraste s'effectue à l'aide d'une aiguille fine et sous contrôle radioscopique. Dés lors, le positionnement de l'aiguille et les différents repères osseux sont bien visibles. Durant l'injection du produit de contraste, la radioscopie permet de s'assurer de l'absence de stagnation du contraste et donc de la réelle diffusion du produit de contraste dans l'articulation. Le volume injecté dépend de l'articulation examiné. Pour obtenir une distribution uniforme, le patient est prié de bouger délicatement l'articulation examinée après l'arthrographie.
L'examen est effectué par le radiologue. Le patient est allongé sur la table de radiologie et la position exacte varie selon l'articulation à examiner. Une désinfection soigneuse de la peau est effectuée. Le médecin porte un masque et des gants stériles. La ponction et l'injection intra-articulaire est contrôlé par la radioscopie. Dés qu'une quantité suffisante de contraste est injectée, l'aiguille est immédiatement retirée. L'articulation semble ankylosée mais il s'agit plutôt d'une gêne que d'une douleur. La coopération du patient est importante car la qualité de l'examen en dépend. Quelques images seront prises lors de cet examen et il est suivi dans la pluspart des cas par par un scanner(Tomodensitométrie) ou par une imagerie par résonance magnétique (IRM) de l'articulation concernée. Après l'examen, afin d'éviter la survenue de douleurs, une limitation des mouvements impliquant cette articulation est conseillée.
Indications et limitations
Cette technique est très souvent associée au scanner et l'examen porte le nom d'ARTHROSCANNER (voir l'article correspondant),
Cet examen peut apporter des informations plus spécifiques et détaillées sur les structures articulaires et est décrit plus en détails sous la rubrique scanner.
Le grand avantage de combiner une arthrographie avec une imagerie en coupe (scanner ou IRM) est de s'affranchir de la superposition des structures et de disposer d'une imagerie dans les trois plans de l'espace. C'est cette combinaison scanner ou IRM après arthrographie qui est employée pour le diagnostic des pathologies articulaires.
Lorsque l'on ne peut disposer de l'IRM ou du scanner, voici quelques exemples d'indications à l'arthrographie:
poignet (lésion du ligament triangulaire)
coude (présence de corps intra-articulaires, évaluation du cartilage)
épaule (rupture de la coiffe des rotateurs)
genou (déchirures méniscales, lésions ligamentaires, évaluation du cartilage)
etc.
Une complication rare: l'arthrite infectieuse
Une infection de l'articulation (arthrite) après une arthrographie est une complication très exceptionnelle. La peau est désinfectée. Le médecin porte un masque et des gants stériles. Un champ percé stérile est mis en place sur l'articulation examinée. Donc tout est entrepris pour rendre impossible l'introduction d'un germe lors de la ponction intra-articulaire. Si par la suite un état fébrile et des douleurs locales apparaissent, vous pouvez nous contacter:
CENTRE DE RADIOLOGIE DE FONTAINEBLEAU : 01.64.22.28.87.
En dehors des heures ouvrables contacter votre médecin ou le service des urgences.





- Vues : 8223