On utilise un contraste opaque iodé hydro-soluble non ionique. Lorsque l'arthroscanner poursuit une arthrographie et que cet arthroscanner a été prévu. On peut réaliser l'arthroscanner 1/2 heure à 1 heure après l'injection de l'arthrographie. un contraste opaque iodé hydro-soluble non ionique. Lorsque l'arthroscanner poursuit une arthrographie et que cet arthroscanner a été prévu. On peut réaliser l'arthroscanner 1/2 heure à 1 heure après l'injection de l'arthrographie.
Fiches d'informations:
L'arthroscanner doit être orienté vers les détails anatomiques que l'on veut mettre en évidence :
épaule : coiffe des rotateurs, bourrelet
hanche : bourrelet, cartilage articulaire
genou : cartilage articulaire, ménisques
cheville : cartilage articulaire, lésion du ligament latéral externe.
L'injection intra-articulaire se réalise en salle de radiologie selon des repères anatomiques. La certitude d'avoir une injection bien intra-articulaire dépend de l'entraînement de l'observateur et se trouve confirmée en radioscopie. On peut se contenter d'une petite quantité de produit de contraste iodé hydrosoluble, qui peut être dilué à 50 % par du sérum ou de la Xylocaïne à 0,5 %.
Le scanner doit être réalisé en coupes fines avec reformatage et un post-traitement des données dans toutes les directions de l'espace.
L'arthrographie thérapeutique
L'injection intra-articulaire d'un produit thérapeutique à l'occasion de l'arthrographie représente un acte fondamental et une orientation intéressante de la radiologie interventionnelle. L'intervention consiste en l'instillation d'un produit thérapeutique après l'injection du produit de contraste qui témoigne que l'extrémité de l'aiguille se trouve à l'intérieur de la cavité articulaire un produit corticoïde retard : Cortancyl, Altim.
Les précautions d'asepsie sont rigoureuses, d'autant plus que les corticoïdes retard ou les anti-inflammatoires risquent de masquer une infection iatrogène.
Le test anesthésique est également utile, l'injection intra-articulaire de produit de contraste fait disparaître la douleur si celle-ci est d'origine articulaire.
INCIDENTS ACCIDENTS (SAUF ALLERGIE)
Hémorragie
Les hémorragies sous-cutanées ou intra-articulaires sont rares.
L'infection et la complication iatrogène majeure
Les signes douloureux apparaissent deux à trois jours après l'intervention. Il s'agit :
de signes locaux : douleur, chaleur, rougeur, éventuellement aspect inflammatoire ou même pus au point de ponction.
de signes généraux : altération de l'état général, fièvre.
de signes biologiques : augmentation de la VS, et des différents facteurs de l'inflammation. Hyperleucocytose, polynucléose.
La constatation de ces signes doit faire mettre en oeuvre d'urgence : un traitement adapté local et général en milieu spécialisé.
En cas de problèmes contacter le CENTRE DE RADIOLOGIE DE FONTAINEBLEAU : 01.64.22.28.87.
En dehors des heures ouvrables contacter votre médecin ou le service des urgences.
La synovite inflammatoire aiguë
Il s'agit d'une réaction inflammatoire au produit de contraste injecté. Elle se produit quelques heures après l'injection et se manifeste par une douleur inflammatoire, une impotence fonctionnelle. Il s'agit d'une réaction synoviale en règle aseptique. Elle guérit sous traitement anti-inflammatoire, application de glace, éventuellement, ponction évacuatrice.
Échecs
On peut toujours observer des échecs de la ponction articulaire, avec une ponction extra-articulaire. Si 8 à 10 ml de produit de contraste sont injectés dans les parties molles péri-articulaires, l'arthrographie est impossible en raison des superpositions. On préconise une attente de 3 à 6 heures avant de reprendre l'arthrographie.
Genou


Calcifications méniscales (flèche de droite) Calcifications méniscales
Séquelles de ménisectomie (flèche de gauche)


Chondropathie fémorale (atteinte du cartilage) Fissure du ménisque interne
(flèche du haut)
Kyste méniscal (flèche du bas)

Kyste poplité
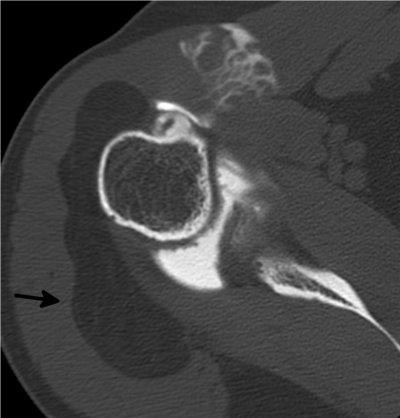
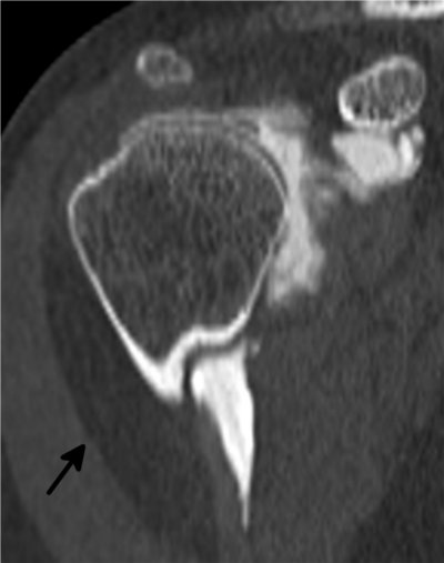
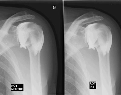
Epaule


Arthrographie de l'épaule


Lipome (masse graisseuse) de l'épaule




Atteinte dégénérative de la coiffe Lésions des sus et sous épineux


Lésions du tendon sus-épineux


1 2

4

3
Capsulite rétractile arthrographie (images 1 et 2)
Arthroscanner correspondant (images 3 et 4)
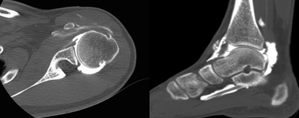
Cheville




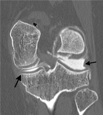
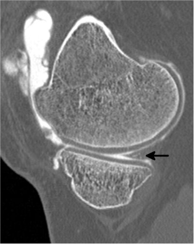
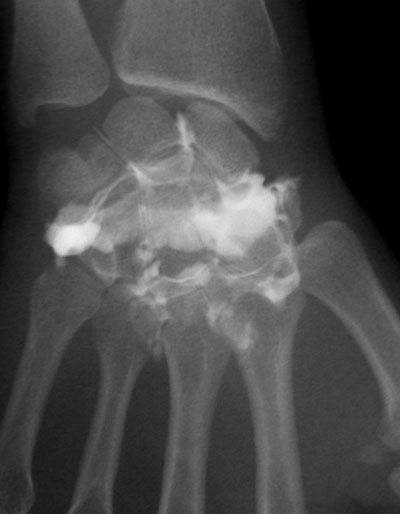
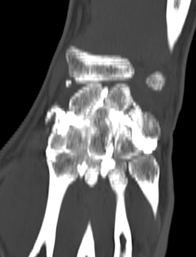
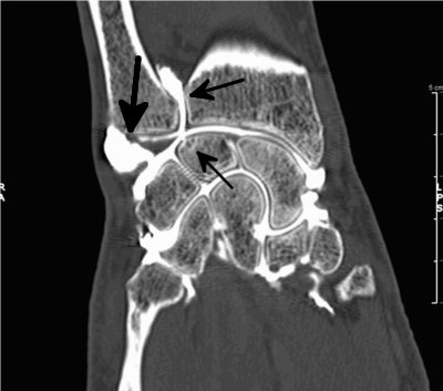
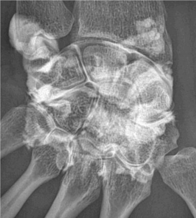
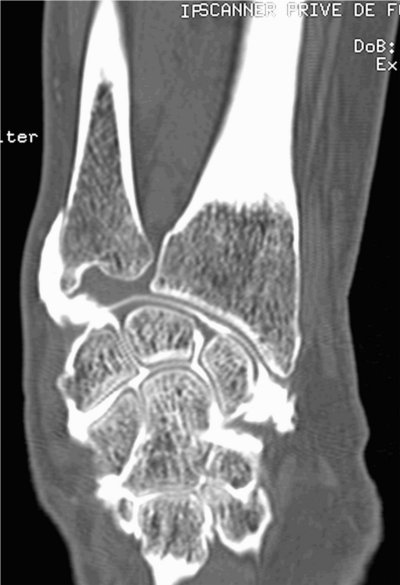
Poignet



Rupture du ligament triangulaire (flèche de droite)

Rupture des ligaments ulno-carpien et luno-pyramydal, chondropathie dégénérative (flèche du bas)


Hanche



Coxarthrose avec pincement de l'interligne articulaire associé à des géodes sous-chondrales (flèches
- Vues : 25613