C’est une technique qui utilise les ultrasons pour explorer le foie, la vésicule, le pancréas, la rate, les reins, la vessie, l’appareil génital féminin, la prostate.
Certaines explorations nécessitent une préparation qu’il est indispensable de respecter.
C’est une technique non irradiante qui peut être utilisée chez la femme enceinte.
Fiche d'informations:
Votre médecin vous a demandé une échographie abdominale et/ou pelvienne. Vous avez pris rendez-vous…
QUE FAUT-IL APPORTER ?
- l’ordonnance et/ou la lettre de votre médecin
- vos échographies précédentes
- votre carte VITALE
FAUT-IL UNE PRÉPARATION ?
- OUI
- Pour les échographies abdominales il vous sera demandé d’être à jeun d’au moins 6 heures
- Pour les échographies pelviennes il vous sera demandé, à l’inverse, de boire de l’eau afin que vous ayez la vessie suffisamment pleine
DÉROULEMENT DE L’EXAMEN :
- Le médecin qui réalise l’examen vous demandera d’enlever les vêtements, les bijoux, les bandages, piercings… qui peuvent éventuellement être gênants pour la réalisation ou la lecture de l’acte ou créer de fausses images.
- Vous serez allongé sur un lit d’examen à côté de l’échographe.
- Les ultrasons sont arrêtés par une couche d’air même très mince :
o Le médecin étalera un gel froid sur la zone à examiner. Le gel servira de transmetteur en supprimant la très fine couche d’air entre la sonde et la peau.
o Il déplacera la sonde en appuyant de façon plus ou moins ferme sur votre ventre pour déplacer les gaz digestifs qui pourraient s’interposer entre la sonde et l’organe qu’il souhaite examiner.
o Il vous demandera de vous tourner, d’inspirer ou d’expirer plus ou moins profondément pour également déplacer les gaz digestifs.
- Les ultrasons sont arrêtés par les os :
o Le médecin vous demandera parfois d’inspirer profondément et de garder votre respiration bloquée. Cette inspiration profonde permet de déplacer vos organes situés sous les côtes (foie, rate en particulier) et de les examiner.
- Pour l’examen du pelvis féminin (utérus, ovaires), très fréquemment, il sera pratiqué une exploration par voie vaginale. Cet examen se fait vessie vide. Le médecin introduira une sonde spécifique qui sera protégée au préalable par une sorte de préservatif. Les sondes sont nettoyées par des produits désinfectants (Amphomousse en pulvérisation, lingettes désinfectantes et Stéranios 2% en trempage). Cette exploration n’est pas faisable chez les jeunes filles.
- Pour l’examen du pelvis masculin (prostate), il sera pratiqué une exploration par voie endorectale. Cet examen se fait vessie vide. Le médecin introduira une sonde spécifique par l’anus afin de se mettre en contact direct avec la prostate et les vésicules séminales. Les sondes sont nettoyées par des produits désinfectants (Amphomousse en pulvérisation, lingettes désinfectantes et Stéranios 2% en trempage).
COMBIEN DE TEMPS DURE L’EXAMEN :
- 10 à 30 minutes selon le nombre d’organes examinés.
EST-CE DOULOUREUX :
-NON.
-C’est un examen totalement indolore et inoffensif.
-Si on vous a demandé de venir la vessie pleine, ne buvez pas trop longtemps à l’avance. On conseille de vider sa vessie et de boire ¾ de litre d’eau 1 heure avant l’examen.
-Les explorations endocavitaires (endorectale et endovaginale) ne sont pas douloureuses.
RÉSULTATS :
- Actuellement tous les appareils sont à lecture directe. Le radiologue fait une première interprétation des images en cours d’examen. Il vous donnera les premiers résultats.
- Il faudra amener vos résultats à votre médecin qui vous donnera la conduite à tenir et vous prescrira éventuellement le traitement adapté.





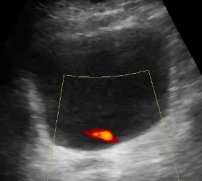
Echographie de la vessie (
). Bilan de colique néphrétique. On met en évidence un calcul (
) au niveau du méat urétéral avec dilatation de l’uretère (
) en amont.
L’échographie est l’examen de référence pour explorer la vessie. Normalement, avec cette technique l’uretère ne se voit pas. En cas de doute sur une pathologie urétérale, l’examen de référence sera l’uroscanner.

Echographie de la prostate par voie endorectale. Nodule (
) développé aux dépens de la prostate centrale entrainant une déformation du plancher vésical et gênant à la vidange de la vessie. Il existe un résidu postmictionnel intra-vésical.
L’échographie est l’examen de référence pour explorer la prostate et la vessie. En fonction des données cliniques et biologiques, l’autre examen d’imagerie de la prostate est l’IRM.

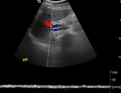
Jet urétéral normal en Doppler énergie

Échographie des reins. Lithiase rénale typique. Les microcalculs intra-rénaux peuvent ne pas être visualisés en échographie. Les calculs urétéraux ne sont pas vus par échographie. En fonction des données cliniques (colique néphrétique) une exploration scannographique vous sera proposée.

Échographie des reins. Cancer du rein. La découverte d’une lésion tissulaire du rein va nécessiter la réalisation d’un uroscanner associé à une artériographie rénale par scanner.

Échographie du rein. Kyste rénal. L’échographie est un l’examen de référence dans l’exploration des loges rénales. Les kystes simples ne nécessitent aucune exploration complémentaire et aucune surveillance particulière.
EXPLORATION DE L’APPAREIL GENITAL FEMININ :

Échographie des ovaires. Il existe 2 kystes sur l’ovaire gauche. Un des kystes est de contenu purement transonore (noir) et correspond à un kyste de type fonctionnel. L’autre kyste est de contenu hétérogène et évoque un kyste hémorragique. L’échographie est l’examen de référence pour explorer les ovaires. En fonction des données cliniques et pour permettre une meilleure caractérisation tissulaire il pourra vous être proposé de réaliser un examen par IRM.

Échographie des ovaires chez une jeune fille de 15 ans.
On notera de très nombreux microkystes (
) sur un ovaire (
) de grande taille, globuleux, en rapport avec une dystrophie ovarienne.

Échographie des ovaires. Masse latéro-utérine gauche très hétérogène évoquant un kyste dermoïde. En bilan pré-chirurgical, une exploration par IRM pourra vous être proposée.

Kyste ovarien fonctionnel

Échographie de l’utérus. Polype endométrial (
), hématométrie (épanchement de sang dans la cavité utérine
). L’échographie est l’examen de référence en première intention pour explorer l’endomètre (muqueuse de l’utérus) et le myomètre (muscle utérin). L’exploration de l’endomètre doit être réalisée par voie endovaginale. Dans les bilans pré-chirurgicaux ou pour préciser l’extension d’une lésion, une exploration par IRM pourra être discutée.
EXPLORATION DU FOIE DE LA VESICULE BILIAIRE ET DU PANCREAS :

Échographie du foie. Nodule hépatique. Sa découverte imposera la réalisation d’un scanner et/ou d’une IRM afin de tenter de faire une caractérisation tissulaire (HNF, angiome, adénome…).

Échographie du foie. Angiome hépatique typique. Une simple surveillance échographique est suffisante.

Échographie du foie. Kyste biliaire typique. Ces lésions ne sont pas évolutives et ne nécessitent aucune surveillance particulière.

Échographie de la vésicule. Lithiase (calcul) vésiculaire. C’est l’examen de référence pour explorer la vésicule.

Échographie du pancréas. Kyste. L’échographie est l’examen de première intention pour explorer le pancréas.
La découverte d’une lésion pancréatique va nécessiter des explorations complémentaires : scanner, IRM, échoendoscopie afin de pouvoir déterminer la conduite à tenir.
Abstention thérapeutique, chirurgie, modalités de surveillance… Parfois l’exploration échographique est impossible en raison de la superposition en avant du pancréas de gaz digestifs.
Si les circonstances cliniques l’exigent une exploration scannographique pourra vous être proposée.

1

2
Appendicite (images 1 et 2)
ÉCHOGRAPHIES CHEZ L’ENFANT :
- Votre enfant doit avoir une échographie :
o C’est un examen totalement indolore.
o Ne lui transmettez pas votre angoisse et montrez-vous confiant(e),
o Expliquez-lui simplement ce qu’il peut comprendre,
o Aucune exploration endocavitaire ne sera pratiquée sur votre enfant,
o Plus il sera calme et confiant, moins il bougera et plus vite l’examen sera terminé.
o En fonction de l’examen, votre présence peut-être ou non souhaitable.
- Vues : 58706