

Fiche patient:
La surveillance d’une grossesse normale nécessite la pratique de 3 examens échographiques à 12 semaines, 22 semaines et 32 semaines d’aménorrhée en plus de la surveillance mensuelle par votre médecin.
C’est une technique qui utilise les ultrasons. Dans les conditions d’utilisation médicale aucun risque n’est connu. L’échographie Doppler repose sur le même principe. On analyse la circulation sanguine fœtale, placentaire et de l’utérus maternel afin d’évaluer la qualité des échanges materno-fœtaux et le bien être fœtal.
AMENORRHEE, DERNIERES REGLES, DEBUT DE GROSSESSE :
- Le premier élément à déterminer dans une grossesse est la date de conception ou début de grossesse.
- Avant l’aire de l’échographie, la date du début de grossesse était déterminée à partir de la date du premier jour des dernières règles.
- Maintenant, la date du début de grossesse est calculée par échographie.
- L’aménorrhée correspond à l’absence de règles.
- Semaines d’aménorrhée : C'est une unité de mesure du temps utilisée en Obstétrique pour calculer l'âge de la grossesse. Elles sont calculées en déterminant la date du début de grossesse par échographie à laquelle on ajoute 2 semaines afin de fixer la date théorique des dernières règles.
- La date du début de grossesse est d’autant plus précise que l’examen est réalisé tôt dans la grossesse.
QUAND FAIRE LES EXAMENS ECHOGRAPHIQUES :
La surveillance d’une grossesse normale dépend du nombre d’embryons. Dans tous les cas, un examen sera pratiqué à chaque trimestre de grossesse.

Courbe de croissance de l'embryon selon Wisser. La croissance de l'embryon n'est pas linéaire. A 6 semaines et 3 jours, l'embryon mesure environ 5 mm, à 7 semaines et 3 jours 10 mm, à 9 semaines 20 mm, à 10 semaines 30 mm, à 11 semaines 40 mm, à 12 semaines 50 mm, à 13 semaines environ 70 mm...


Embryon de 5 semaines et 4 jours. Dès ce moment, il est possible de visualiser le coeur de l'embryon et de l'enregistrer en écho-doppler.

Embryon de 8 semaines et 5 jours d'aménorrhée.

Embryon de 10 semaines d'aménorrhée.

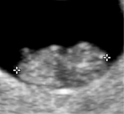
Embryon de 11 semaines d'aménorrhée.

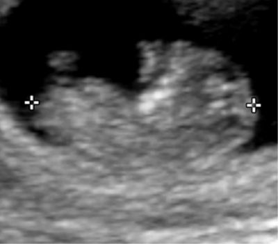
Embryon de 12 semaines d'aménorrhée. La mesure de la clarté nucale doit se faire entre 11 semaines et 3 jours d'aménorrhée et 13 semaines et 3 jours.
1°) Grossesse unique (un seul embryon) :
4 examens peuvent être réalisés au cours d’une grossesse normale :
- 1er trimestre :
o Avant la 11ième semaine d’aménorrhée.
Son objectif est de déterminer l’âge de la grossesse.
o Entre la 12ième semaine et la 13ième semaine d’aménorrhée.
Son objectif est d’évaluer le risque de dyschromosomie (trisomie).
- 2ième trimestre.
o Son objectif est de faire une analyse morphologique précise de l’enfant.
- 3ième trimestre.
o Son objectif est :
de faire une analyse morphologique complémentaire à celle de la 22ième semaine d’aménorrhée.
De préciser la position du fœtus ;
De préciser la position du placenta.
2°) Grossesse multiples (jumeaux) :
- Lors d’une grossesse multiple il est très important de déterminer son type (vrais ou faux jumeaux) car il conditionne le temps entre deux examens de surveillance échographique.
o Grossesse bichoriale, biamniotique (faux jumeaux) : surveillance mensuelle,
o Grossesse monochoriale, mono ou biamniotique : surveillance bimensuelle.
La surveillance d’une grossesse pathologique sera déterminée en collaboration avec votre médecin ou votre gynécologue ou votre obstétricien. Les délais de surveillance sont fonction du type de pathologie associée à votre grossesse que cette pathologie soit d’origine maternelle (diabète, HTA,…) ou fœtale (Retard de Croissance Intra-Utérin, malformations fœtales…)
DEPISTAGE DES DYSCHROMOSOMIES (TRISOMIE) RISQUE INTEGRE :
- Quels sont les examens disponibles afin de déterminer une dyschromosomie (trisomie) ?
o Le seul examen fiable à 100% est l’amniocentèse (prélèvement de liquide amniotique). Cet examen a l’inconvénient majeur de risque de fausse-couche.
o Actuellement il est possible d’utiliser les tests sanguins et l’échographie afin de déterminer un niveau de risque de dyschromosomie (trisomie). Ces examens ne sont pas fiables à 100%.
- La problématique posée dans le cadre du dépistage des dyschromosomies (trisomie) est de risquer de provoquer des fausses-couches iatrogènes sur des enfants normaux en cas de réalisation d’amniocentèses systématiques et à l’inverse de ne pas dépister des enfants dyschromosomiques (trisomiques) si les critères échographiques et sanguins ne sont pas correctement adaptés.
- Nicolaïdes et son équipe ont mis au point une surveillance au premier trimestre de grossesse afin de trouver un juste compromis entre les 2 risques inverses (fausse couche sur enfant normal vs enfant dyschromosomique (trisomique) non dépisté). Cette technique est basée sur des analyses statistiques. Elle combine l’âge de la future maman, la longueur cranio-caudale, la clarté nucale et la prise de sang. Son utilisation systématique a permis de réduire de façon significative le nombre d’amniocentèse pratiqué et de réduire de ce fait le risque de fausse-couche iatrogène et de l’autre côté de réduire de façon significative le nombre d’enfants dyschromosomiques non dépisté.
- Cet examen ne peut être fait que sur des fœtus dont la longueur cranio-caudale (tête – fesses) est comprise entre 45 et 84 mm soit entre 11 semaines et 4 jours d'aménorrhée et 13 semaines et 3 jours.
- De ces constations, il est important de souligner que :
o des examens normaux n’éliminent pas de façon formelle une dyschromosomie (trisomie).
o Une nuque épaisse n’est pas synonyme de dyschromosomie (trisomie).
o Le but est de déterminer un niveau de risque de malformations fœtales d’origine dyschromosomique (trisomie) amenant la pratique d’une amniocentèse et non de faire un diagnostic précis de dyschromosomie (trisomie).
- Le seuil utilisé pour pratiquer ou non une amniocentèse est de 1/250.


Le tableau de Nicolaïdes montre que le risque de trisomie augmente avec l’âge mais n’est jamais égal à zéro même à 20 ans.
LES RESEAUX EN OBSTETRIQUE :
- Tous les médecins qui pratiquent des échographies obstétricales ont validé le dipôme spécifique de dépistage de la trisomie au premier trimestre (Fetal Medicine Foundation). Nos pratiques sont réévaluées régulièrement dans le cadre du CEPPIM et du réseau périnatalité 94 Est (CHIC de Créteil).
- Nous participons à des réseaux médicaux :
o réseau d'échographie foetale 94/77,
o réseau périnatalité 94 Est.
COMBIEN DE TEMPS DURE L’EXAMEN :
- Plusieurs paramètres sont à prendre en considération :
o L’âge de la grossesse,
o Le nombre de fœtus.
- Grossesses uniques :
o 1er trimestre 15 à 20 minutes,
o 2ième trimestre 20 à 30 minutes,
o 3ième trimestre, 20 à 30 minutes.
- Grossesses multiples :
o 1er trimestre : 20 à 30 minutes,
o 2ième trimestre : 40 à 60 minutes
o 3ième trimestre : 40 à 60 minutes.
EST-CE DOULOUREUX :
- NON.
- C’est un examen totalement indolore et inoffensif.
- Si on vous a demandé de venir la vessie pleine (examen avant 11 semaines), ne buvez pas trop longtemps à l’avance. On conseille de vider sa vessie et de boire ¾ de litre d’eau 1 heure avant l’examen.
- Les explorations endocavitaires (endovaginal) ne sont pas douloureuses.
RESULTATS :
- Actuellement tous les appareils sont à lecture directe. Le radiologue fait une première interprétation des images en cours d’examen. Il vous donnera les premiers résultats.
- Il faudra amener vos résultats à votre médecin, gynécologue, obstétricien qui vous donnera la conduite à tenir.
IRRADIATION ET GROSSESSE
EN PRATIQUE :
- Nous vous demandons de bien vouloir nous indiquer avant votre examen si vous êtes enceinte ou pensez l’être (retard de règles, absence de contraception).
- Par précaution, en l'absence de contraception chez une femme non ménopausée, il est conseillé de réaliser les examens de scanner et de radiologie dans les 10 premiers jours du cycle.
- Les échographies et l’IRM n’utilisent pas de rayons X.
En cas de grossesse avérée avant l’examen :
- soit votre état de santé (mère) rend nécessaire sa réalisation et nous prendrons toutes les précautions nécessaires lors de sa réalisation ;
- soit votre examen sera reporté après votre grossesse ;
- soit, en collaboration avec votre médecin, nous lui substituerons un examen n’utilisant pas les rayons X.
En cas de grossesse se révélant après l’examen ne soyez pas inquiète inutilement !
Les doses que nous utilisons pour la réalisation des examens d’imagerie à visée diagnostique sont inférieures au seuil de dangerosité pour vous et votre fœtus.
Prenez contact avec nos services. Nous analyserons ensemble votre dossier. Nous le transférerons à des sociétés indépendantes avec lesquelles nous collaborons afin de l’étudier et nous vous remettrons leurs résultats.
Associations partenaires : Association Meuphine
- Vues : 55358