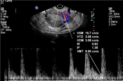
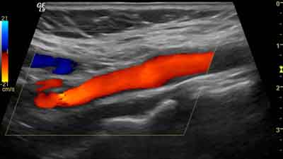
L'échographie n’utilise pas de rayons X. L’échographie utilise des ultrasons émis par une sonde et transmis dans les tissus qui les réfléchissent pour former une image de la région examinée. Elle peut être couplée à une sorte de radar pour l’étude des vaisseaux (doppler). Pour les intensités utilisées, il n’a jamais été décrit de conséquence particulière pour l’homme.
Fiche d'informations:
Quelles explorations réalisons-nous ?
- les troncs supra-aortiques (artères cervicales) : recherche et suivre un athérome,une sténose, une dissection
- en post-opératoire d’une intervention, désobstruction (endartériectomie) d’une angioplastie des carotides
- le transcrânien :apprécie la circulation des artères intracrâniennes, est généralement couplé à l’examen des troncs supra-aortiques
- les artères rénales : explore la vascularisation des reins, indiquée dans l'exploration d'une hypertension artérielle
- l’aorte et les artères des membres inférieurs : explore une artériopathie oblitérante (artérite) un anévrysme de l’aorte, poplité, contrôle un geste chirurgical
- les artères et les veines des membres supérieurs
- les veines des membres inférieur : recherche une phlébite, une insuffisance veineuse
- les fistules artério-veineuses d’hémodialyse : bilan pré-création, suivi
- syndrome du défilé thoraco-brachial
- les artères utérines
- les artères et les veines de l'abdomen
Déroulement de l’examen :
Vous serez allongé dans une pièce sombre pour faciliter la lecture des images.
L’examen est indolore.
Un gel sera appliqué sur la peau pour permettre la transmission des ultrasons.
L’examen fournit des images en mouvement, contrôlées sur un écran.
Préparation :
Pour l’exploration de l’aorte, de la veine cave , des artères rénales, vous devez être à jeun 6 h avant l’examen ; mais vous devez prendre normalement vos médicaments habituels. Pour tous les autres écho-dopplers, aucune préparation n’est nécessaire.
Résultats :
Un premier commentaire pourra vous être donné juste après l’examen, il ne s’agira là que d’une première approche, car les images doivent ensuite faire l’objet d’un compte-rendu écrit qui sera disponible dans les meilleurs délais.



- Vues : 17044