Imagerie dentaire


DENTAL SCAN


CONE BEAM
Elle peut nécessiter l’utilisation de la radiologie générale couplée ou non à des tomographies, elle peut être réalisée par la technique du cone beam, ou par scanner dans les bilans pré-chirurgicaux éventuels.
Fiches d'informations:
 Fiche informations rayons ionisants
Il est indispensable de nous signaler si vous êtes :
- enceinte ou susceptible de l’être
CONE BEAM*, PANORAMIQUE DENTAIRE, TELERADIOGRAPHIES, SCANNER DENTAIRE** (DENTAL SCAN) :
Ce sont les examens de référence en imagerie dentaire avec les clichés rétroalvéolaires que votre dentiste fait directement dans son cabinet.
CONE BEAM*
Centre d'imagerie médicale Franklin Roosevelt d'Avon : 01 60 72 34 80 et 01 64 22 07 07
Elle peut nécessiter l’utilisation de la radiologie générale couplée ou non à des tomographies, elle peut être réalisée par la technique du cone beam, ou par scanner dans les bilans pré-chirurgicaux éventuels.
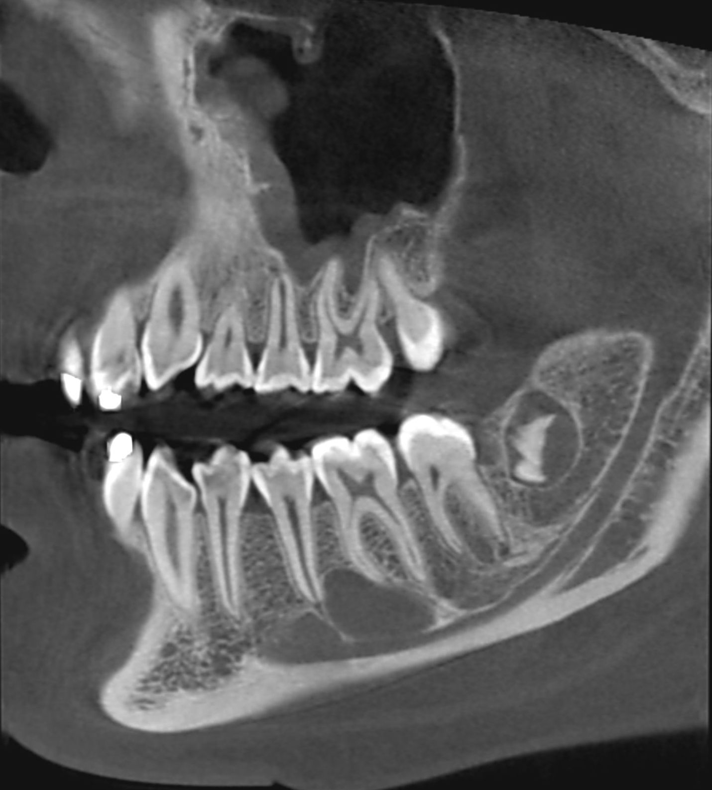
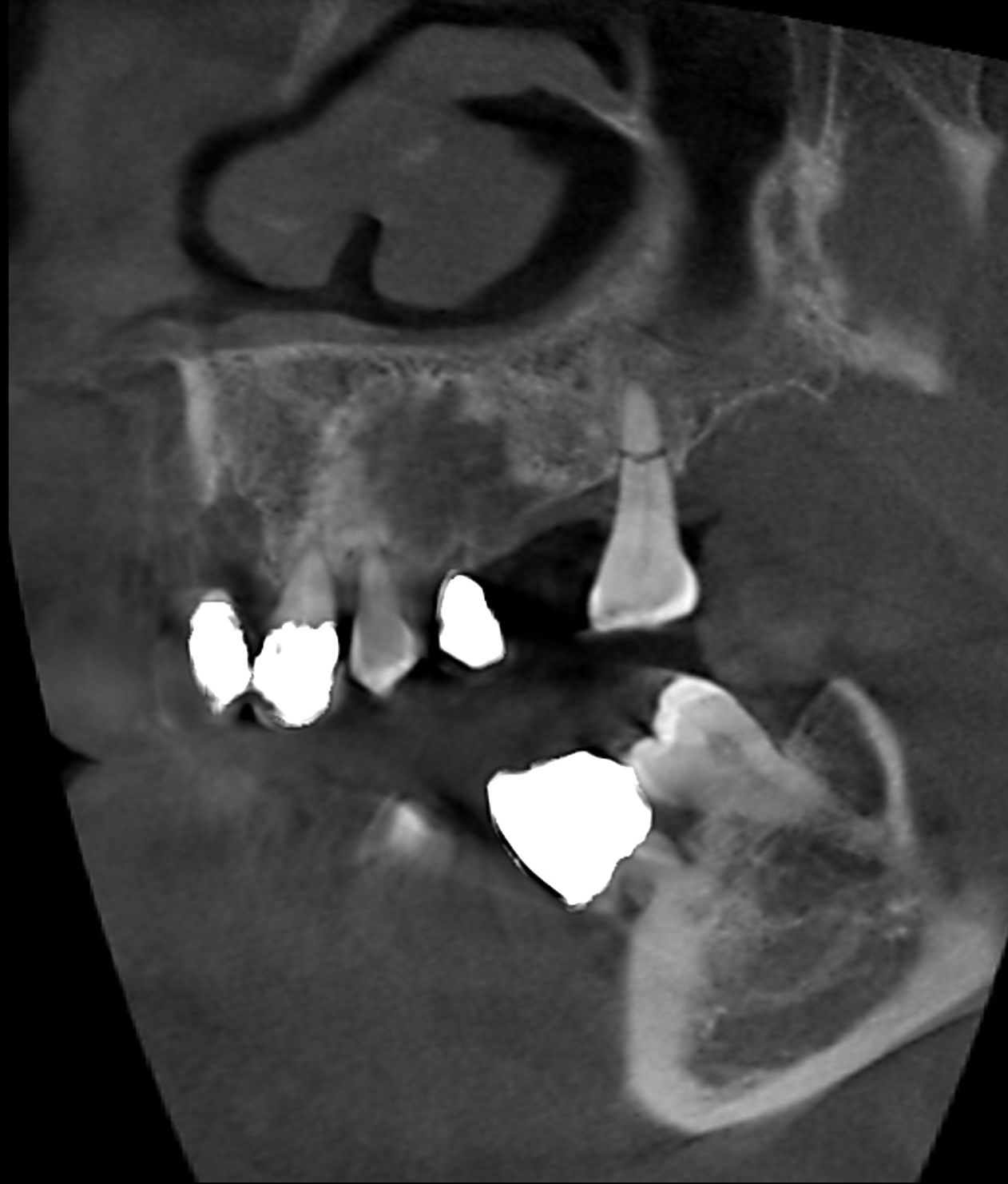
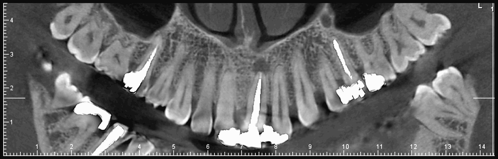
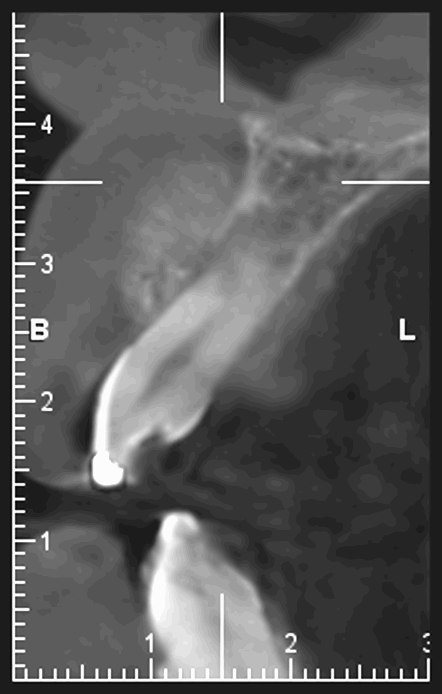
Le cone beam est une nouvelle technique de radiographie numérisée situé entre le panoramique dentaire et le scanner, il utilise un faisceau d’irradiation de forme conique d'où son nom. Cet appareil présente notamment l’avantage d’être plus précis que le panoramique dentaire et il possède une résolution similaire, voire supérieure à celle du scanner, avec en plus la possibilité d’une reconstruction numérique en 3D.
Il permet de balayer en un seul passage l’ensemble du volume à radiographier et en étant moins irradiant que le scanner.
Le cone beam utilisé en pathologie dentaire et maxillo-faciale est indiqué pour l’examen des tissus minéralisés (dents, cartilages, os), il permet d’identifier les lésions osseuses, les fractures, les infections, les kystes ou les corps étrangers.
Il est un examen de choix en implantologie.
Il ne permet pas d’étudier les tissus mous, ni de mesurer la densité contrairement au scanner.
Il évalue au plus juste le volume osseux et la position des structures anatomiques comme les nerfs en vue de la pose d’implants. La modélisation en 3D permet la taille et la forme des implants proportionnellement à la morphologie du patient et de simuler virtuellement leurs emplacements.
Les applications du cone beam dentaire sont donc nombreuses allant de la chirurgie buccale à l’orthodontie (télécrânes...), en passant par la chirurgie maxillo-faciale et l’ORL.
Le cone beam dentaire est par exemple indiqué dans les pathologies suivantes :

- pathologies infectieuses

- pathologies du parodonte





Ostéonécrose de la mandibule






- pathologies osseuses des maxillaires
- pathologie des ATM (articulations temporo-mandibulaires)


- kystes radiculaires


- pathologie des sinus maxillaires


- pathologies tumorales




- dents incluses, surnuméraires


- implants dentaires
Y a-t-il des risques liés au cone beam ?
Comme pour tout examen radiologique, des  précautions doivent être appliqués lors de l’examen, et plus particulièrement en cas de grossesse. Si vous êtes enceinte, ou susceptible de l'être vous devez le signaler à votre médecin afin qu’il puisse prendre les mesures de radioprotection adaptées à votre cas.
QUE FAUT-IL APPORTER ?
- l’ordonnance et/ou la lettre de votre dentiste, stomatologiste, médecin,
- vos radiographies précédentes, 
- votre carte VITALE,
FAUT-IL UNE PREPARATION ?
- NON. Aucune préparation n’est nécessaire pour ce type d’acte.
DEROULEMENT DES EXAMENS :
- Le médecin ou le (la) manipulateur (trice) qui réalise l’examen vous demandera d’enlever les bijoux, prothèses (dentaires, auditives, boucles d’oreilles, piercings…) qui peuvent éventuellement être gênants pour la réalisation ou la lecture de l’acte ou créer de fausses images.
- pour le cone beam aucune préparation n’est nécessaire. La séance est simple et rapide. Elle est à peu près similaire à celle d’une radiographie dentaire classique. Votre tête est installée dans l’appareil et maintenue par un système de contention. Une pièce en plastique sera placée entre vos dents de manière à ce que vous mâchoires soient légèrement écartées. L’acquisition du cliché dure environ 10 à 20 secondes durant lesquelles vous devez rester immobile.
-pour le panoramique dentaire l'appareil tourne autour de vous, votre tête est installée dans l’appareil et maintenue par un système de contention. Une pièce en plastique sera placée entre vos dents de manière à ce que vous mâchoires soient légèrement écartées. L’acquisition du cliché dure environ 10 à 20 secondes durant lesquelles vous devez rester immobile.
- Pour les téléradiographies, il sera mis dans vos oreilles des embouts métalliques afin que vous soyez parfaitement de profil par rapport à la plaque radiologique et pour vous éviter de bouger. Ces moyens de contention sont totalement indolores. Il vous sera demandé de serrer les dents les plus postérieures et de laisser les lèvres jointes.

- Pour le scanner, vous serez allongé sur une table qui se déplacera à l’intérieur d’un anneau. Vous devrez serrer entre vos dents un coton afin que les dents ne se chevauchent pas.
- Recommandations importantes :
o Vous devez absolument éviter de bouger ou de respirer quand on vous le demande. Tout mouvement (respiratoire, déplacement…) rendra le cliché flou. Il ne pourra pas être interprété et sera refait.
o Il est très important de respecter les consignes que le (la) manipulateur (trice) vous donne (serrer les dents, ne pas respirer, ne pas avancer la mâchoire inférieure…).
- Tous les matériels sont numériques ce qui permet d’avoir une vision très rapide, parfois instantanée, de la qualité de l’image obtenue.
COMBIEN DE TEMPS DURE L’EXAMEN :
- 10 minutes par examen.
EST-CE DOULOUREUX :
- NON.
RESULTATS :
- Le radiologue interprétera vos clichés et vous donnera les premiers résultats.
- Il faudra amener vos résultats à votre médecin qui vous donnera la conduite à tenir et vous prescrira éventuellement le traitement adapté.
RADIOGRAPHIES ET FEMMES ENCEINTES :
- Madame, si vous êtes enceinte, il est important de le signaler au médecin et au (à la) manipulateur (trice).
- Si l’examen est nécessaire et indispensable pour votre santé, il sera réalisé en prenant toutes les précautions.
- Dans les autres cas, il vous sera proposé de reporter votre examen à la fin de votre grossesse. Pour les explorations dentaires, il n’est pas possible de réaliser des examens de substitution non irradiant.
RADIOGRAPHIES CHEZ L’ENFANT :
- C’est un examen extrêmement fréquent chez les enfants qui ont des problèmes orthodontiques.
oNe lui transmettez pas votre angoisse et montrez-vous confiant(e),
oExpliquez-lui simplement ce qu’il peut comprendre,
oPlus il sera calme et confiant, moins il bougera et plus vite l’examen sera terminé.
oEn fonction de l’examen, votre présence peut-être ou non souhaitable.
oSi vous êtes enceinte, nous vous demanderons de ne pas assister à l’examen
TELERADIOGRAPHIES
C’est un examen qui permet de visualiser, en rapport 1/1 (1cm sur le film = 1 cm sur le corps), la tête dans son ensemble en superposant sur un seul film les contours osseux, les dents et les parties molles du visage.
Il est possible de réaliser plusieurs incidences:

a) de profil. C’est l’incidence la plus fréquente.
b) de face,
c) en incidence de Hirtz.
On positionne des embouts métalliques () dans les oreilles afin de nous permettre de vous mettre dans la position souhaitée et de vous aider à la garder et à ne pas bouger.
Cet examen est fait le plus souvent chez l’enfant dans les bilans d’orthodontie.
Il peut être fait également chez l’adulte dans la même indication.

Bilan préchirurgical pour rétrognatisme. La mandibule est en situation trop postérieure par rapport au maxillaire supérieur.

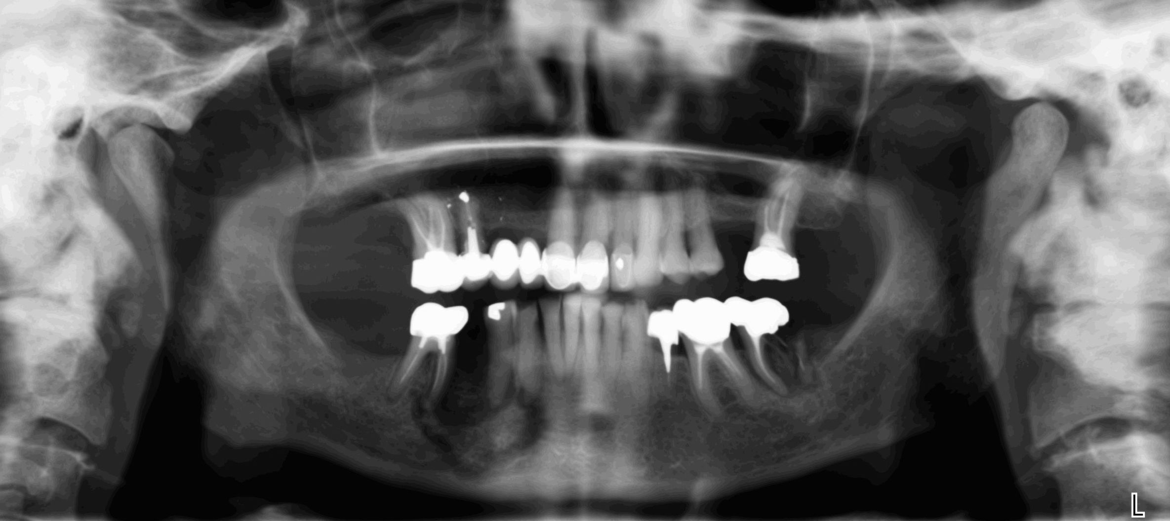
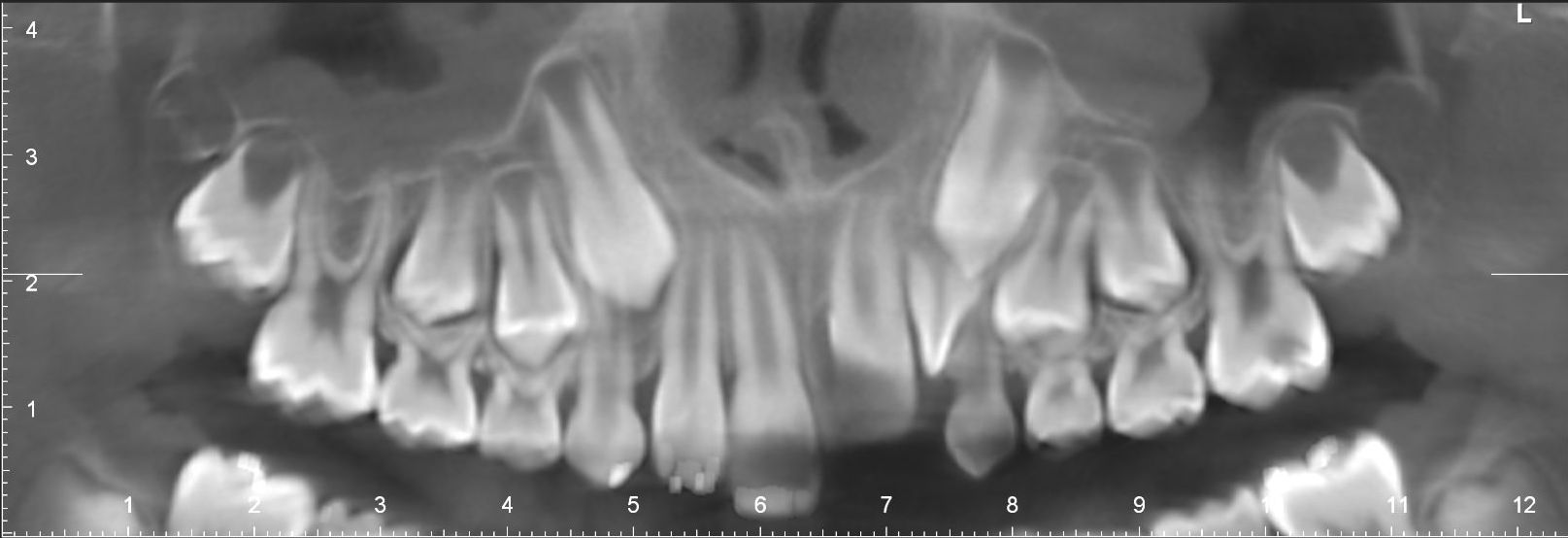
Images de panoramiques dentaire:




SCANNER DENTAIRE (DENTALSCANNER)
 
Les nouvelles générations de scanner permettent de faire une acquisition d’un volume global d’une partie du corps et de travailler à l’intérieur de ce volume en isolant une structure anatomique donnée et de l’explorer dans tous les plans de l’espace.
Grace à la technique de seuillage il est possible de dissocier progressivement les dents des structures osseuses environnantes dans le volume donné.













- Vues : 24801