-
Dépistage du Cancer du Sein
- Le DPI : dépistage personnel individuel
- Le DMO : dépistage de masse organisée
-
Galactographie
La galactographie est un examen radiologique indispensable à réaliser quand il y a un écoulement anormal par un seul pore du mamelon (sérosité, sang). On injecte alors un produit de contraste à base d'iode, par le pore du galactophore concerné (c'est un canal qui sécrète le lait), pour faire ressortir ses contours.
-
Tomosynthèse-Mammographie 3D
Il s'agit d'une technique de tomographie qui permet l'acquisition d'un volume mammaire en coupe fine et d'éliminer ainsi les superpositions des tissus, qui représentent une des limites de la mammographie conventionnelle en cas seins denses Birads 3 et 4 difficiles à analyser.
Elle permet de mieux caractériser les zones douteuses, en particulier pour les images subtiles de masses et de ruptures architecturales.
-
IRM mammaire
Il s'agit d'un examen non ionisant, utilisant des ondes de radiofréquences.
Il est réalisé toujours en deuxième intention après un examen mammographique et/ou échographique.
Il nécessite une concertation entre votre médecin et le radiologue qui pratiquera l’examen afin de préciser les indications.
-
Echographie mammaire
L'échographie doit toujours venir compléter la mammographie en cas de masse visible et/ou de seins globalement denses (densité ACR 3 ou 4, mastose, dystrophie) rendant son analyse très difficile car pouvant masquer de petites lésions ayant la même densité que le tissu mammaire environnant. Elle permet aussi d'écarter des lésions sur certaines zones denses isolées du sein.
-
Détection assistée par ordinateur (CAD)
C'est un outil informatique sophistiqué complémentaire à la mammographie qui met en évidence les régions suspectes de l'image afin d'aider le médecin à détecter précocement une anomalie.
-
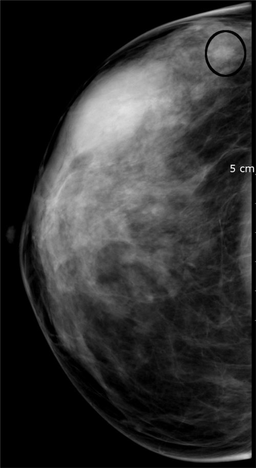
Mammographie numérique plein champ
-
Dépistage du Cancer du Sein
- Le DPI : dépistage personnel individuel
- Le DMO : dépistage de masse organisée
-
Galactographie
La galactographie est un examen radiologique indispensable à réaliser quand il y a un écoulement anormal par un seul pore du mamelon (sérosité, sang). On injecte alors un produit de contraste à base d'iode, par le pore du galactophore concerné (c'est un canal qui sécrète le lait), pour faire ressortir ses contours.
-
Tomosynthèse-Mammographie 3D
Il s'agit d'une technique de tomographie qui permet l'acquisition d'un volume mammaire en coupe fine et d'éliminer ainsi les superpositions des tissus, qui représentent une des limites de la mammographie conventionnelle en cas seins denses Birads 3 et 4 difficiles à analyser.
Elle permet de mieux caractériser les zones douteuses, en particulier pour les images subtiles de masses et de ruptures architecturales.
-
IRM mammaire
Il s'agit d'un examen non ionisant, utilisant des ondes de radiofréquences.
Il est réalisé toujours en deuxième intention après un examen mammographique et/ou échographique.
Il nécessite une concertation entre votre médecin et le radiologue qui pratiquera l’examen afin de préciser les indications.
-
Echographie mammaire
L'échographie doit toujours venir compléter la mammographie en cas de masse visible et/ou de seins globalement denses (densité ACR 3 ou 4, mastose, dystrophie) rendant son analyse très difficile car pouvant masquer de petites lésions ayant la même densité que le tissu mammaire environnant. Elle permet aussi d'écarter des lésions sur certaines zones denses isolées du sein.
-
Détection assistée par ordinateur (CAD)
C'est un outil informatique sophistiqué complémentaire à la mammographie qui met en évidence les régions suspectes de l'image afin d'aider le médecin à détecter précocement une anomalie.
-
Mammographie numérique plein champ
-
Dépistage du Cancer du Sein
- Le DPI : dépistage personnel individuel
- Le DMO : dépistage de masse organisée
-
Galactographie
La galactographie est un examen radiologique indispensable à réaliser quand il y a un écoulement anormal par un seul pore du mamelon (sérosité, sang). On injecte alors un produit de contraste à base d'iode, par le pore du galactophore concerné (c'est un canal qui sécrète le lait), pour faire ressortir ses contours.
-
Tomosynthèse-Mammographie 3D
Il s'agit d'une technique de tomographie qui permet l'acquisition d'un volume mammaire en coupe fine et d'éliminer ainsi les superpositions des tissus, qui représentent une des limites de la mammographie conventionnelle en cas seins denses Birads 3 et 4 difficiles à analyser.
Elle permet de mieux caractériser les zones douteuses, en particulier pour les images subtiles de masses et de ruptures architecturales.
-
IRM mammaire
Il s'agit d'un examen non ionisant, utilisant des ondes de radiofréquences.
Il est réalisé toujours en deuxième intention après un examen mammographique et/ou échographique.
Il nécessite une concertation entre votre médecin et le radiologue qui pratiquera l’examen afin de préciser les indications.
-
Echographie mammaire
L'échographie doit toujours venir compléter la mammographie en cas de masse visible et/ou de seins globalement denses (densité ACR 3 ou 4, mastose, dystrophie) rendant son analyse très difficile car pouvant masquer de petites lésions ayant la même densité que le tissu mammaire environnant. Elle permet aussi d'écarter des lésions sur certaines zones denses isolées du sein.
-
Détection assistée par ordinateur (CAD)
C'est un outil informatique sophistiqué complémentaire à la mammographie qui met en évidence les régions suspectes de l'image afin d'aider le médecin à détecter précocement une anomalie.
-
Mammographie numérique plein champ
-
Dépistage du Cancer du Sein
- Le DPI : dépistage personnel individuel
- Le DMO : dépistage de masse organisée
-
Galactographie
La galactographie est un examen radiologique indispensable à réaliser quand il y a un écoulement anormal par un seul pore du mamelon (sérosité, sang). On injecte alors un produit de contraste à base d'iode, par le pore du galactophore concerné (c'est un canal qui sécrète le lait), pour faire ressortir ses contours.
-
Tomosynthèse-Mammographie 3D
Il s'agit d'une technique de tomographie qui permet l'acquisition d'un volume mammaire en coupe fine et d'éliminer ainsi les superpositions des tissus, qui représentent une des limites de la mammographie conventionnelle en cas seins denses Birads 3 et 4 difficiles à analyser.
Elle permet de mieux caractériser les zones douteuses, en particulier pour les images subtiles de masses et de ruptures architecturales.
-
IRM mammaire
Il s'agit d'un examen non ionisant, utilisant des ondes de radiofréquences.
Il est réalisé toujours en deuxième intention après un examen mammographique et/ou échographique.
Il nécessite une concertation entre votre médecin et le radiologue qui pratiquera l’examen afin de préciser les indications.
-
Echographie mammaire
L'échographie doit toujours venir compléter la mammographie en cas de masse visible et/ou de seins globalement denses (densité ACR 3 ou 4, mastose, dystrophie) rendant son analyse très difficile car pouvant masquer de petites lésions ayant la même densité que le tissu mammaire environnant. Elle permet aussi d'écarter des lésions sur certaines zones denses isolées du sein.
-
Détection assistée par ordinateur (CAD)
C'est un outil informatique sophistiqué complémentaire à la mammographie qui met en évidence les régions suspectes de l'image afin d'aider le médecin à détecter précocement une anomalie.
-
Mammographie numérique plein champ
-
Dépistage du Cancer du Sein
- Le DPI : dépistage personnel individuel
- Le DMO : dépistage de masse organisée
-
Galactographie
La galactographie est un examen radiologique indispensable à réaliser quand il y a un écoulement anormal par un seul pore du mamelon (sérosité, sang). On injecte alors un produit de contraste à base d'iode, par le pore du galactophore concerné (c'est un canal qui sécrète le lait), pour faire ressortir ses contours.
-
Tomosynthèse-Mammographie 3D
Il s'agit d'une technique de tomographie qui permet l'acquisition d'un volume mammaire en coupe fine et d'éliminer ainsi les superpositions des tissus, qui représentent une des limites de la mammographie conventionnelle en cas seins denses Birads 3 et 4 difficiles à analyser.
Elle permet de mieux caractériser les zones douteuses, en particulier pour les images subtiles de masses et de ruptures architecturales.
-
IRM mammaire
Il s'agit d'un examen non ionisant, utilisant des ondes de radiofréquences.
Il est réalisé toujours en deuxième intention après un examen mammographique et/ou échographique.
Il nécessite une concertation entre votre médecin et le radiologue qui pratiquera l’examen afin de préciser les indications.
-
Echographie mammaire
L'échographie doit toujours venir compléter la mammographie en cas de masse visible et/ou de seins globalement denses (densité ACR 3 ou 4, mastose, dystrophie) rendant son analyse très difficile car pouvant masquer de petites lésions ayant la même densité que le tissu mammaire environnant. Elle permet aussi d'écarter des lésions sur certaines zones denses isolées du sein.
-
Détection assistée par ordinateur (CAD)
C'est un outil informatique sophistiqué complémentaire à la mammographie qui met en évidence les régions suspectes de l'image afin d'aider le médecin à détecter précocement une anomalie.
-
Mammographie numérique plein champ
-
Dépistage du Cancer du Sein
- Le DPI : dépistage personnel individuel
- Le DMO : dépistage de masse organisée
-
Galactographie
La galactographie est un examen radiologique indispensable à réaliser quand il y a un écoulement anormal par un seul pore du mamelon (sérosité, sang). On injecte alors un produit de contraste à base d'iode, par le pore du galactophore concerné (c'est un canal qui sécrète le lait), pour faire ressortir ses contours.
-
Tomosynthèse-Mammographie 3D
Il s'agit d'une technique de tomographie qui permet l'acquisition d'un volume mammaire en coupe fine et d'éliminer ainsi les superpositions des tissus, qui représentent une des limites de la mammographie conventionnelle en cas seins denses Birads 3 et 4 difficiles à analyser.
Elle permet de mieux caractériser les zones douteuses, en particulier pour les images subtiles de masses et de ruptures architecturales.
-
IRM mammaire
Il s'agit d'un examen non ionisant, utilisant des ondes de radiofréquences.
Il est réalisé toujours en deuxième intention après un examen mammographique et/ou échographique.
Il nécessite une concertation entre votre médecin et le radiologue qui pratiquera l’examen afin de préciser les indications.
-
Echographie mammaire
L'échographie doit toujours venir compléter la mammographie en cas de masse visible et/ou de seins globalement denses (densité ACR 3 ou 4, mastose, dystrophie) rendant son analyse très difficile car pouvant masquer de petites lésions ayant la même densité que le tissu mammaire environnant. Elle permet aussi d'écarter des lésions sur certaines zones denses isolées du sein.
-
Détection assistée par ordinateur (CAD)
C'est un outil informatique sophistiqué complémentaire à la mammographie qui met en évidence les régions suspectes de l'image afin d'aider le médecin à détecter précocement une anomalie.
-
Mammographie numérique plein champ
-
Dépistage du Cancer du Sein
- Le DPI : dépistage personnel individuel
- Le DMO : dépistage de masse organisée
-
Galactographie
La galactographie est un examen radiologique indispensable à réaliser quand il y a un écoulement anormal par un seul pore du mamelon (sérosité, sang). On injecte alors un produit de contraste à base d'iode, par le pore du galactophore concerné (c'est un canal qui sécrète le lait), pour faire ressortir ses contours.
-
Tomosynthèse-Mammographie 3D
Il s'agit d'une technique de tomographie qui permet l'acquisition d'un volume mammaire en coupe fine et d'éliminer ainsi les superpositions des tissus, qui représentent une des limites de la mammographie conventionnelle en cas seins denses Birads 3 et 4 difficiles à analyser.
Elle permet de mieux caractériser les zones douteuses, en particulier pour les images subtiles de masses et de ruptures architecturales.
-
IRM mammaire
Il s'agit d'un examen non ionisant, utilisant des ondes de radiofréquences.
Il est réalisé toujours en deuxième intention après un examen mammographique et/ou échographique.
Il nécessite une concertation entre votre médecin et le radiologue qui pratiquera l’examen afin de préciser les indications.
-
Echographie mammaire
L'échographie doit toujours venir compléter la mammographie en cas de masse visible et/ou de seins globalement denses (densité ACR 3 ou 4, mastose, dystrophie) rendant son analyse très difficile car pouvant masquer de petites lésions ayant la même densité que le tissu mammaire environnant. Elle permet aussi d'écarter des lésions sur certaines zones denses isolées du sein.
-
Détection assistée par ordinateur (CAD)
C'est un outil informatique sophistiqué complémentaire à la mammographie qui met en évidence les régions suspectes de l'image afin d'aider le médecin à détecter précocement une anomalie.
-
Mammographie numérique plein champ
-
Dépistage du Cancer du Sein
- Le DPI : dépistage personnel individuel
- Le DMO : dépistage de masse organisée
-
Galactographie
La galactographie est un examen radiologique indispensable à réaliser quand il y a un écoulement anormal par un seul pore du mamelon (sérosité, sang). On injecte alors un produit de contraste à base d'iode, par le pore du galactophore concerné (c'est un canal qui sécrète le lait), pour faire ressortir ses contours.
-
Tomosynthèse-Mammographie 3D
Il s'agit d'une technique de tomographie qui permet l'acquisition d'un volume mammaire en coupe fine et d'éliminer ainsi les superpositions des tissus, qui représentent une des limites de la mammographie conventionnelle en cas seins denses Birads 3 et 4 difficiles à analyser.
Elle permet de mieux caractériser les zones douteuses, en particulier pour les images subtiles de masses et de ruptures architecturales.
-
IRM mammaire
Il s'agit d'un examen non ionisant, utilisant des ondes de radiofréquences.
Il est réalisé toujours en deuxième intention après un examen mammographique et/ou échographique.
Il nécessite une concertation entre votre médecin et le radiologue qui pratiquera l’examen afin de préciser les indications.
-
Echographie mammaire
L'échographie doit toujours venir compléter la mammographie en cas de masse visible et/ou de seins globalement denses (densité ACR 3 ou 4, mastose, dystrophie) rendant son analyse très difficile car pouvant masquer de petites lésions ayant la même densité que le tissu mammaire environnant. Elle permet aussi d'écarter des lésions sur certaines zones denses isolées du sein.
-
Détection assistée par ordinateur (CAD)
C'est un outil informatique sophistiqué complémentaire à la mammographie qui met en évidence les régions suspectes de l'image afin d'aider le médecin à détecter précocement une anomalie.
-
Mammographie numérique plein champ
-
Dépistage du Cancer du Sein
- Le DPI : dépistage personnel individuel
- Le DMO : dépistage de masse organisée
-
Galactographie
La galactographie est un examen radiologique indispensable à réaliser quand il y a un écoulement anormal par un seul pore du mamelon (sérosité, sang). On injecte alors un produit de contraste à base d'iode, par le pore du galactophore concerné (c'est un canal qui sécrète le lait), pour faire ressortir ses contours.
-
Tomosynthèse-Mammographie 3D
Il s'agit d'une technique de tomographie qui permet l'acquisition d'un volume mammaire en coupe fine et d'éliminer ainsi les superpositions des tissus, qui représentent une des limites de la mammographie conventionnelle en cas seins denses Birads 3 et 4 difficiles à analyser.
Elle permet de mieux caractériser les zones douteuses, en particulier pour les images subtiles de masses et de ruptures architecturales.
-
IRM mammaire
Il s'agit d'un examen non ionisant, utilisant des ondes de radiofréquences.
Il est réalisé toujours en deuxième intention après un examen mammographique et/ou échographique.
Il nécessite une concertation entre votre médecin et le radiologue qui pratiquera l’examen afin de préciser les indications.
-
Echographie mammaire
L'échographie doit toujours venir compléter la mammographie en cas de masse visible et/ou de seins globalement denses (densité ACR 3 ou 4, mastose, dystrophie) rendant son analyse très difficile car pouvant masquer de petites lésions ayant la même densité que le tissu mammaire environnant. Elle permet aussi d'écarter des lésions sur certaines zones denses isolées du sein.
-
Détection assistée par ordinateur (CAD)
C'est un outil informatique sophistiqué complémentaire à la mammographie qui met en évidence les régions suspectes de l'image afin d'aider le médecin à détecter précocement une anomalie.
-
Mammographie numérique plein champ
-
Dépistage du Cancer du Sein
- Le DPI : dépistage personnel individuel
- Le DMO : dépistage de masse organisée
-
Galactographie
La galactographie est un examen radiologique indispensable à réaliser quand il y a un écoulement anormal par un seul pore du mamelon (sérosité, sang). On injecte alors un produit de contraste à base d'iode, par le pore du galactophore concerné (c'est un canal qui sécrète le lait), pour faire ressortir ses contours.
-
Tomosynthèse-Mammographie 3D
Il s'agit d'une technique de tomographie qui permet l'acquisition d'un volume mammaire en coupe fine et d'éliminer ainsi les superpositions des tissus, qui représentent une des limites de la mammographie conventionnelle en cas seins denses Birads 3 et 4 difficiles à analyser.
Elle permet de mieux caractériser les zones douteuses, en particulier pour les images subtiles de masses et de ruptures architecturales.
-
IRM mammaire
Il s'agit d'un examen non ionisant, utilisant des ondes de radiofréquences.
Il est réalisé toujours en deuxième intention après un examen mammographique et/ou échographique.
Il nécessite une concertation entre votre médecin et le radiologue qui pratiquera l’examen afin de préciser les indications.
-
Echographie mammaire
L'échographie doit toujours venir compléter la mammographie en cas de masse visible et/ou de seins globalement denses (densité ACR 3 ou 4, mastose, dystrophie) rendant son analyse très difficile car pouvant masquer de petites lésions ayant la même densité que le tissu mammaire environnant. Elle permet aussi d'écarter des lésions sur certaines zones denses isolées du sein.
-
Détection assistée par ordinateur (CAD)
C'est un outil informatique sophistiqué complémentaire à la mammographie qui met en évidence les régions suspectes de l'image afin d'aider le médecin à détecter précocement une anomalie.
-
Mammographie numérique plein champ
-
Généralités
Tous les cancers du sein ne sont pas détectables par la mammographie (voir généralités sur l’imagerie médicale). C'est pour cela que l'on s'aide de l'échographie et de l'IRM dans certaines situations.
Toute anomalie du sein n’est pas un cancer.
-
-
Généralités
Tous les cancers du sein ne sont pas détectables par la mammographie (voir généralités sur l’imagerie médicale). C'est pour cela que l'on s'aide de l'échographie et de l'IRM dans certaines situations.
Toute anomalie du sein n’est pas un cancer.
-
-
Généralités
Tous les cancers du sein ne sont pas détectables par la mammographie (voir généralités sur l’imagerie médicale). C'est pour cela que l'on s'aide de l'échographie et de l'IRM dans certaines situations.
Toute anomalie du sein n’est pas un cancer.
-
-
Généralités
Tous les cancers du sein ne sont pas détectables par la mammographie (voir généralités sur l’imagerie médicale). C'est pour cela que l'on s'aide de l'échographie et de l'IRM dans certaines situations.
Toute anomalie du sein n’est pas un cancer.
-
-
Généralités
Tous les cancers du sein ne sont pas détectables par la mammographie (voir généralités sur l’imagerie médicale). C'est pour cela que l'on s'aide de l'échographie et de l'IRM dans certaines situations.
Toute anomalie du sein n’est pas un cancer.
-
-
Généralités
Tous les cancers du sein ne sont pas détectables par la mammographie (voir généralités sur l’imagerie médicale). C'est pour cela que l'on s'aide de l'échographie et de l'IRM dans certaines situations.
Toute anomalie du sein n’est pas un cancer.
-
-
Généralités
Tous les cancers du sein ne sont pas détectables par la mammographie (voir généralités sur l’imagerie médicale). C'est pour cela que l'on s'aide de l'échographie et de l'IRM dans certaines situations.
Toute anomalie du sein n’est pas un cancer.
-
-
Généralités
Tous les cancers du sein ne sont pas détectables par la mammographie (voir généralités sur l’imagerie médicale). C'est pour cela que l'on s'aide de l'échographie et de l'IRM dans certaines situations.
Toute anomalie du sein n’est pas un cancer.
-
-
Généralités
Tous les cancers du sein ne sont pas détectables par la mammographie (voir généralités sur l’imagerie médicale). C'est pour cela que l'on s'aide de l'échographie et de l'IRM dans certaines situations.
Toute anomalie du sein n’est pas un cancer.
-
-
Généralités
Tous les cancers du sein ne sont pas détectables par la mammographie (voir généralités sur l’imagerie médicale). C'est pour cela que l'on s'aide de l'échographie et de l'IRM dans certaines situations.
Toute anomalie du sein n’est pas un cancer.
- Vues : 13769





