L'échographie doit toujours venir compléter la mammographie en cas de masse visible et/ou de seins globalement denses (densité ACR 3 ou 4, mastose, dystrophie) rendant son analyse très difficile car pouvant masquer de petites lésions ayant la même densité que le tissu mammaire environnant. Elle permet aussi d'écarter des lésions sur certaines zones denses isolées du sein.
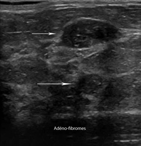
Elle précise donc une masse détectée en mammographie qui peut être liquide: kystique, solide: fibrome ou suspecte.
Elle est donc réalisée en complément de la mammographie le plus souvent.
Chez l’adolescente et la femme très jeune elle peut être réalisée de première intention compte tenu de la densité des seins.


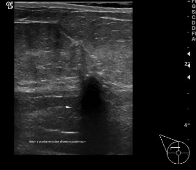
Masse maligne absorbante


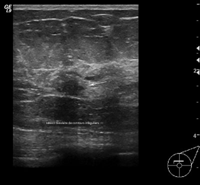
Masse ACR5 de contours irréguliers

- ACR 1 : Echographie normale.
- ACR 2 : Il existe des anomalies bénignes ne nécessitant ni surveillance, ni examen complémentaire.
- ACR 3 : Il existe une anomalie probablement bénigne pour laquelle une surveillance à court terme
( en général de 3 à 6 mois) est conseillée
- ACR 4 : Il existe une anomalie indéterminée ou suspecte, qui fait poser l'indication d'une vérification histologique.
- ACR 5 : L'anomalie est évocatrice d'un cancer.
- Vues : 18150