Il s'agit d'un examen non ionisant, utilisant des ondes de radiofréquences.
Il est réalisé toujours en deuxième intention après un examen mammographique et/ou échographique.
Il nécessite une concertation entre votre médecin et le radiologue qui pratiquera l’examen afin de préciser les indications.
A quoi sert l'IRM du sein ?
Une IRM du sein (ou IRM mammaire) permet donc de compléter et de préciser l'exploration de certaines
anomalies du sein détectées à la mammographie et/ou à l’échographie.
Ce n'est pas un examen de dépistage sauf chez les femmes "à risque", cet examen associé à la mammographie et l'échographie, rend dans ce cas particulier le dépistage du cancer du sein plus performant.
Pour réaliser l’examen, la patiente est positionnée à plat ventre.
Des clichés sont aussi pratiqués après une injection dans une veine d’un produit de contraste, (par exemple du gadolinium). Par une manipulation informatique des images, il est alors possible de mettre en évidence, si elles existent, d’éventuelles fixations localisées du produit de contraste dans le tissu mammaire et de réaliser des images selon différentes séries de coupes.
Faut-il prendre des précautions particulières avant ou après l’examen ?Les précautions sont les mêmes que pour tout examen IRM avec injection de produit de contraste (cf fiche informations patient)
Quelles sont les informations apportées par l’examen ?
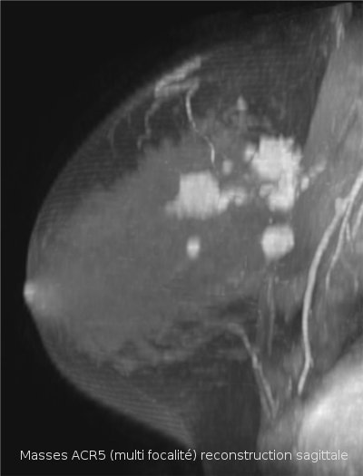
La morphologie de la lésion observée et la visualisation d'une ou plusieurs zones prises de contraste sont les principales informations fournies par l'IRM.
Une image de morphologie irrégulière surtout, et une prise de contraste associée avec courbe de type 5 (prise de contraste précoce, rapide et intense avec phase de lavage secondaire appelée "wash-out") oriente avec une probabilité d'environ 80% vers une lésion maligne (cancer). Selon le contexte médical la morphologie et l’aspect des prises de contraste des lésions peuvent traduire certaines pathologies du sein, notamment de nature cancéreuse.
Un des grands avantages de l'IRM est la fiabilité de son résultat.
L'IRM permet de détecter des anomalies invisibles à la mammographie.Un argument essentiel, car plus la tumeur est repérée tôt, plus les chances de guérison sont importantes. Mieux encore, dans certains types de tumeurs, l'IRM peut se montrer plus performante.
L'IRM a une telle sensibilité que lorsqu'elle est négative, elle permet d'exclure à 99 % la présence d'un cancer invasif du sein. Une qualité qui peut parfois être un défaut car l'IRM détecte toute anomalie, même bénigne et, dans ce cas, elle peut inquiéter inutilement .
Elle peut être utilisée dans les indications suivantes :
- si une femme présente des facteurs de risque familiaux (au moins deux cas chez les collatéraux de premier et de deuxième degré) voire une forme génétique prouvée (les formes familiales de cancer en rapport avec les gènes BRCA 1 et BRCA 2 représentent 5 à 7% des cancers du sein ) : la fréquence des cancers très élevée (60 à 85% en présence d'un gène anormal) justifie un dépistage par une mammographie plus une IRM par an et biopsie au moindre doute.*
- si une lésion cancéreuse volontiers multifocale ou bilatérale (cancer de type lobulaire par exemple) a été diagnostiquée, pour rechercher une autre lésion non décelée par la mammographie avec échographie.
- si le sein est très dense, pour confirmer une lésion quand la mammographie est en défaut (patiente jeune ou ménopausée sous traitement hormonal).
- si le sein a déjà été opéré**, pour faire le diagnostic de récidive .
- pour explorer des seins porteurs de prothèses, dans un contexte à risque, en raison du mauvais rendement de la mammographie gênée par l'opacité prothétique.
- si un ganglion axillaire est retrouvé isolé avec mammographie normale (tumeur maligne du sein retrouvée dans 80% des cas).
- si une masse non opérée est traitée par chimiothérapie : l'IRM permet d'évaluer la réponse thérapeutique en fonction de la régression tumorale
*Programme de dépistage spécifique appliqué aux formes familiales en Allemagne, Hollande et Grande Bretagne.
En France, les Biopsies sous IRM ne sont pas encore réalisables en pratique clinique, ce qui rend difficile l'exploitation d'un résultat IRM positif quand tous les autres examens sont négatifs! L'avenir est tourné vers la mammographie numérique de contraste qui fonctionne sur le même principe que l'IRM et permet de mettre en évidence des prises de contrastes anormales par soustraction d'images. Ces dernières peuvent alors bénéficier de prélèvements en un temps de façon aisée grâce au système classique de repérage stéréotaxique.
**Il est préférable d'attendre environ un an après une intervention (ou une irradiation) avant de faire une IRM sinon les résultats risquent d'être faussés.
L'IRM n'a pas ou peu d'intérêt dans l'étude des microcalcifications isolées : elle ne permet pas de distinguer les microcalcifications bénignes du carcinome intracanalaire.
Dans la démarche diagnostique, elle n'a de valeur qu'associée à la mammographie et à l'échographie .
Combien de temps dure l’examen ?
de 30 à 45 minutes











- Vues : 19302