Il s'agit de réaliser un prélèvement ciblé sur votre sein devant une anomalie constatée lors d’un examen mammographique, échographique et/ou IRM.
Il nécessite une concertation entre votre médecin et le radiologue qui pratiquera l’examen.
Macrobiopsie
Une macrobiopsie du sein est un prélèvement guidé par échographie ou mammographie de la lésion repérée sur vos examens d'imagerie. Cette technique de prélèvement a été choisie en accord avec votre médecin prescripteur car elle est la plus adaptée à votre cas. En fonction du résultat, une intervention chirurgicale pourra vous être proposée ultérieurement.
fiche information biopsie du sein
fiche info rayonnement ionisant
Comment vous préparer avant l'examen?

Dans tous les cas, vous ne devez pas prendre d’aspirine les 10 jours précédant l’examen. Si vous prenez un traitement anticoagulant ou antiagrégant plaquettaire, vous devez le signaler à votre médecin si vous ne l’avez pas déjà fait au cours de la consultation. Le cas échéant, votre traitement sera adapté par votre médecin traitant ou par un cardiologue.
Le jour de l’examen :
Vous pouvez manger normalement. Rendez vous à votre examen avec vos mammographies, échographies, IRM, angiomammographie récentes. L’examen se déroule au:
Centre d'imagerie médicale Franklin Roosevelt d'Avon :
Tel: 01 60 72 34 80 et 01 64 22 07 07
Déroulement de l’examen :

Vous êtes confortablement installée en position allongée, sur le ventre, quand la procédure est guidée par mammographie ou sur le dos lorsqu’elle est guidée par échographie. Dans le premier cas, la table d’examen comporte une ouverture dans laquelle on positionne votre sein. Une anesthésie locale est réalisée afin de rendre cet examen peu douloureuse. Le guidage de l’aiguille, par radiographie ou échographie, nécessite l’immobilité parfaite de votre sein car la précision des prélèvements est de l’ordre du millimètre. Un petit repère métallique ( en titane) est laissé en place pour marquer la zone prélevée. Ces prélèvements sont effectués par un radiologue. La durée de l’examen, y compris l’installation et le pansement, est d’environ une heure.
Après l’examen :

Pour limiter, le risque d’hématome, une compression de la région ponctionnée sera exercée. Puis un pansement compressif sera appliqué afin d’aider la cicatrisation. Il est nécessaire de garder ce pansement 48 heures, sans le mouiller. Signalez-nous les éventuelles allergies au sparadrap et contactez-nous en cas d’intolérance au pansement. Au bout de deux jours, lors de votre douche, vous pouvez retirer la bande autocollante, puis décoller tout doucement les bandelettes de Steristrip®. Nettoyez ensuite avec précaution la peau à l’eau savonneuse, rincez puis séchez avec une serviette propre. Replacez de nouvelles bandelettes de Steristrip® et recouvrez les d’un pansement . Gardez ce nouveau pansement pendant 3 jours sans le mouiller.
Le pansement et les Steristrip pourront également être enlevés lors de la consultation post biopsies.
Tous ces pansements vous sont fournis le jour de l’examen. En cas de douleur, vous pouvez prendre, sauf contre-indication médicale, du paracétamol paracétamol ((DOLIPRANE®, EFFERALGAN®...). Ne prenez pas d’aspirine. Evitez les travaux ménagers, la pratique du sport et le port de charges lourdes pendant 48 heures.
Résultats :
Les prélèvements font l’objet d’une préparation spécifique, puis sont examinés au microscope par le médecin pathologiste. Ils permettront de faire le diagnostic de votre lésion. Les résultats seront transmis à votre médecin prescripteur qui vous les communiquera lors de votre prochaine consultation.
QUEL SONT LES RISQUES EVENTUELS ?
Tout au long de l’examen, le médecin et la manipulatrice restent près de vous pour vous expliquer la progression de l’examen. Ils sont également présents afin de déceler et de prévenir un éventuel et léger malaise. Des problèmes hémorragiques sont essentiellement rencontrés chez les patientes traitées par aspirine ou par anticoagulant d’où l’importance de signaler tout traitement à votre médecin. Exceptionnellement, en cas de saignement abondant, un hématome peut se produire et nécessiter exceptionnellement un drainage (très rarement sous anesthésie générale). Les complications infectieuses sont rarissimes.
Microbiopsies sous échographie
Cette technique est utilisée le plus souvent sous échographie en première intention pour les lésions tissulaires.
QUEL EST L’EXAMEN PROPOSE ?
Une microbiopsie du sein est un prélèvement guidé essentiellement par échographie , permettant l’analyse de la lésion détectée sur vos examens d'imageries. Cette technique de prélèvement a été choisie en accord avec votre médecin prescripteur car elle est la plus adaptée à votre cas.
Organisation pratique de l’examen :
Lors de la consultation pré biopsies, le médecin vous explique le but et le déroulement de l’examen. Le rendez-vous vous sera donné ultérieurement par la secrétaire de l’unité de sénologie interventionnelle.
Avant l’examen :

Après l’examen :
Un pansement compressif est appliqué. Vous devez le garder 48 heures. En cas de douleur, vous pouvez, sauf contre-indication médicale, prendre du paracétamol (DOLIPRANE®, EFFERALGAN®...). Ne prenez pas d’aspirine. L’apparition d’un hématome est sans gravité. Vous pouvez appliquer des compresses alcoolisées.
Dans tous les cas, vous ne devez pas prendre d’aspirine les 10 jours précédant l’examen. Si vous prenez un traitement anticoagulant ou antiagrégant plaquettaire, vous devez le signaler à votre médecin si vous ne l’avez pas déjà fait au cours de la consultation. Le cas échéant, votre traitement sera adapté par votre médecin traitant ou par un cardiologue.
Le jour de l’examen :
Vous pouvez manger normalement. Rendez vous à votre examen avec vos mammographies et échographies récentes. L’examen se déroule au:
Centre d'imagerie médicale Franklin Roosevelt d'Avon :
Tel: 01 60 72 34 80 et 01 64 22 07 07
Déroulement de l’examen :

Vous êtes installée en position allongée. Une anesthésie locale est pratiquée afin de rendre cet examen peu douloureux. Un petite incision de la peau est réalisée pour placer l’aiguille. Cela nécessite une immobilité parfaite de votre sein car la précision des prélèvements est de l’ordre du millimètre. Vous ne sentez rien et entendez seulement un déclic dû au déplacement de l’aiguille dans le boîtier. Ces prélèvements sont effectués par un radiologue.
La durée de l’examen, y compris l’installation et le pansement est de 20 minutes.
Résultats :
Les prélèvements font l’objet d’une préparation spécifique, certains sont examinés au microscope par le médecin pathologiste. Ils permettront de faire le diagnostic de votre lésion, les autres seront conservés pour des études ultérieures qui pourraient s’avérer nécessaires pour votre prise en charge.
Les résultats seront transmis à votre médecin prescripteur qui vous les communiquera lors de votre prochaine consultation.
QUELLES SONT LES COMPLICATIONS EVENTUELLES ?
Tout au long de l’examen, le médecin et la manipulatrice restent près de vous pour vous expliquer la progression de l’examen. Ils sont également présents afin de déceler et de prévenir un éventuel et léger malaise. Des problèmes hémorragiques sont essentiellement rencontrés chez les patientes traitées par aspirine ou anticoagulant d’où l’importance de signaler tout traitement à votre médecin. Le risque d’hématome est limité et/ou grâce à la compression de la région ponctionnée. Les complications infectieuses sont rarissimes.
QUE FAIRE SI VOUS AVEZ DES QUESTIONS OU EN CAS D’URGENCE ?
Contacter le:
Centre d'imagerie médicale Franklin Roosevelt d'Avon :
Tel:01 60 72 34 80 et 01 64 22 07 07
Centre radiologie de Fontainebleau : 01 64 22 28 87
En dehors des heures ouvrables contacter votre médecin ou les urgences.
Après les biopsies:
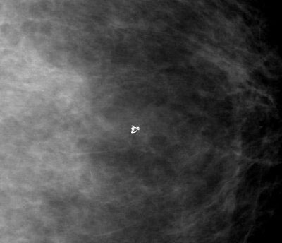
Il est laissé en place un clip pour guider le chirurgien avant une éventuelle intervention (clip qui pourra rester en place s'il n'y a pas d'intervention).


Clip post-biopsies Vérification per-opératoire du clip dans la tumorectomie (le clip est présent dans la pièce opératoire)


Contrôle radiologique de micro-calcifications dans les prélèvements réalisés par macrobiopsies sous stéréotaxie
Les prélèvements sont alors transmis après vérification à un laboratoire d’anatomo-pathologie pour analyse histologique.
Le radiologue vous recevra une semaine après le prélèvement afin de vérifier la cicatrisation, s'il existe un éventuel hématome, une allergie au pansement, une infection.
Le résultat du prélèvement vous sera donné par le médecin prescripteur (gynécologue le plus souvent ou médecin généraliste) environ 8 à 10 jours plus tard.
Cytoponction mammaire sous contrôle échographique
Votre médecin vous a prescrit une cytoponction mammaire sous repérage échographique.
Cette technique est choisi lorsque l’anomalie est visible à l’échographie et notamment pour les kystes volumineux ou atypiques.
La cytoponction mammaire est un prélèvement permettant un examen des cellules de la lésion repérée dans votre sein lors d’un examen radiologique.
Organisation pratique de l’examen :
La secrétaire de l’unité de Sénologie interventionnelle vous communique par téléphone ou par courrier la date et l’heure du rendez-vous.
Le jour de l’examen :
Vous pouvez manger normalement. Rendez-vous à votre examen avec vos mammographies et échographies récentes.
L’examen se déroule au:
Centre d'imagerie médicale Franklin Roosevelt d'Avon :
Tel 01 60 72 34 80 et 01 64 22 07 07
Du Lundi au Vendredi de 8h30 à 12h30 et de 14h00 à 18h30 et le Samedi de 8h30 à 12h30
Tél. 01 64 22 07 07
Déroulement de l’examen :
Au début de l’examen, vous devez signaler tout traitement anticoagulant.
Vous êtes installée en position allongée. Après un examen échographique classique, la ponction est réalisée sur l’image repérée. Les prélèvements sont effectués par le radiologue au moyen d’une aiguille très fine, ce qui rend l’examen peu douloureux.
L’examen terminé, un pansement léger est appliqué sur la zone prélevée.
La durée de l’examen, y compris l’échographie de repérage, est d’environ 15 minutes.
Résultats :
Les prélèvements font l’objet d’une préparation spécifique, puis sont examinés au microscope par le médecin anatomo-pathologiste. Ils permettront de faire le diagnostic de votre lésion. Les résultats seront transpis à votre médecin prescripteur qui vous les communiquera lors de votre prochaine consultation.
QUELS SONT LES EVENTUELLES COMPLICATIONS ?
Généralement, aucun effet secondaire n'est observé. L’apparition éventuelle d’un hématome est sans gravité.
Vous pouvez appliquer des compresses alcoolisées. En cas de douleur, vous pouvez, sauf contre-indication médicale, prendre du paracétamol (Doliprane®, Efferalgan®...).
Ne prenez pas d’aspirine.
Exceptionnellement, dans des cas où la lésion est située très en profondeur dans le sein, il est arrivé qu’un peu d’air passe dans le thorax ce qui nécessite une surveillance de plusieurs heures à l’Hôpital.
Repérage pré-chirurgical d'une lésion mammaire
fiche info sur les rayonnements ionisants
Son but est de localiser, avant l'intervention chirurgicale, avec précision l'anomalie du sein que l'on ne palpe pas, mais que l'on voit sur la mammographie et/ou sur l'échographie, ou qui a été repérée par un clip post biopsies, afin que le chirurgien enlève le tissu mammaire "pathologique" avec précision. C'est un examen indolore, réalisé le matin ou la veille de votre intervention, dans une salle de mammographie/échographie par le radiologue.
On peut également réaliser un repérage sous échographie de la la lésion par un marquage cutané.
Avant la mise en place :
Si vous avez en votre possession des examens mammographiques antérieurs, il est important de les apporter avec vous.
L’examen se déroule au:
Centre d'imagerie médicale Franklin Roosevelt d'Avon :
Tel: 01 60 72 34 80 et 01 64 22 07 07
Déroulement de l'examen:
Il s'agit d'une piqûre du sein (de même désagrément qu'une piqûre dans le bras). Quand le radiologue a vérifié par mammographie la position de l'aiguille fine, il enlève l'aiguille, en laissant le repère en place. C'est ce fil que l'on appelle un guide ou harpon .
Après l’examen :
Un pansement vous est posé. Il est nécessaire de le garder sans le mouiller jusqu'à l'intervention.
Après avoir enlevé le pansement, vous pouvez vous doucher en séchant la cicatrice avec une serviette propre sans frotter.
En cas de douleur, vous pouvez prendre, sauf contre-indication médicale, du paracétamol (DOLIPRANE®, EFFERALGAN®...). Ne prenez pas d’aspirine.
Evitez les travaux ménagers, la pratique du sport et le port de charges lourdes.
L'examen dure environ 15 minutes.

QUE FAIRE SI VOUS AVEZ DES QUESTIONS OU EN CAS D’URGENCE ?
Contacter le centre d'imagerie médicale Franklin Roosevelt d'Avon : 01 60 72 34 80
et 01 64 22 07 07
Centre de radiologie de Fontainebleau : 01 64 22 28 87
En dehors des heures ouvrables contacter votre médecin ou les urgences.
- Vues : 14478