Coloscanner et enteroscanner sont des techniques particulières du scanner pour explorer le tube digestif (intestin grêle et côlon). Ces explorations nécessitent une préparation avant l’examen et l’utilisation de produits de contraste (air, eau) pour distendre les organes et des produits de contraste par voie veineuse.
Ce sont des examens faiblement irradiants, donc toute grossesse doit être écarté.
fiche info rayonnement ionisant
COLOSCANNER
Aujourd'hui le diagnostic en imagerie repose sur l'utilisation de la tomodensitométrie ou scanner en s'aidant d'une technique de distension colique.
Cette technique particulière justifie le terme spécifique de coloscanner.
L'examen est réalisé sans puis avec injection de produit de contraste iodé en intra-veineux.
La distension se fait avec un lavement à l'eau on parle de coloscanner à l'eau.
Son indication est essentiellement le diagnostic d'un cancer colorectal et de polypes, il est proposé en alternative à la coloscopie devant des symptômes évoquant un cancer colique, en particulier chez les sujets âgés ou fragiles pour lesquels il est préférable de se dispenser d'une anesthésie générale en première intention. Cette technique permet de faire le diagnostic du cancer et le bilan complet de recherche d'une métastase, en particulier hépatique ou pulmonaire.
En cas de problèmes contacter le CENTRE DE RADIOLOGIE DE FONTAINEBLEAU : 01.64.22.28.87.
En dehors des heures ouvrables contacter votre médecin ou le service des urgences.



1 2 3
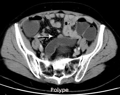
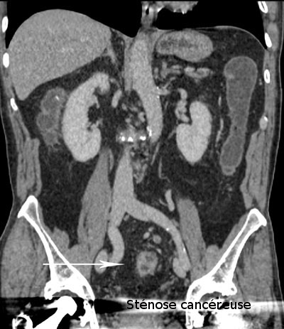
Lésion villeuse du segment distal du sigmoïde (images 1, 2 et 3)




- Vues : 9799