Nécessite une préparation avant l’examen et l’utilisation de produits de contraste (air, eau) pour distendre les organes et des produits de contraste par voie veineuse.
fiche info rayonnement ionisant
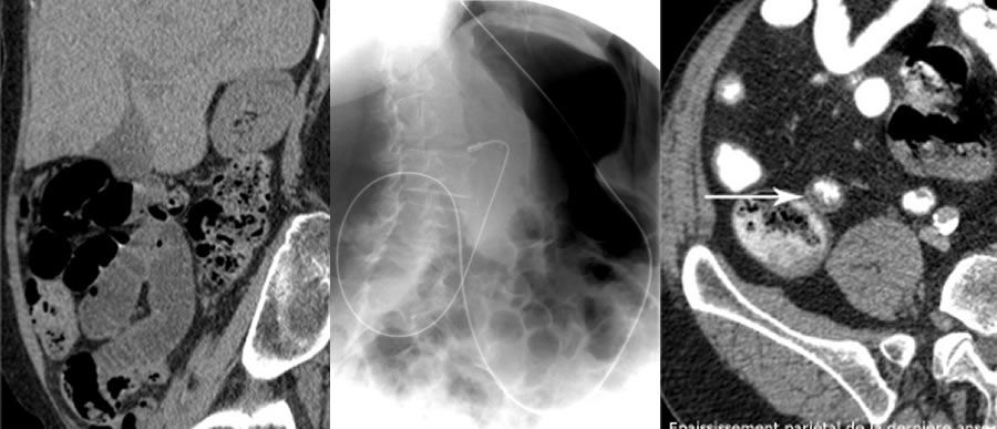
Cette une technique d’imagerie médicale pour étudier la pathologie l’intestin grêle (le petit intestin). C'est un examen irradiant, donc toute grossesse doit être écarté.
Ce dernier présente la particularité d’être très long et très contractile.
L’entéroscanner est actuellement l’un des examens les plus performants pour l’étude des différentes anomalies de sa paroi.
Les principales indications de l’entéroscanner sont l’exploration d’hémorragie digestive sans cause évidente retrouvée, la recherche de lésions de la paroi de l’intestin grêle et le bilan topographique de maladie inflammatoire chronique de l’intestin.
Il est indispensable d’être strictement à jeun avant la réalisation de l’examen.
Une sonde naso-jéjunale souple est introduite par une narine après anesthésie locale puis mise en place sous guidage radioscopique jusqu’à l'origine des premières anses de l’intestin grêle.
La mise en place de cette sonde ne présente pas de difficulté,seules de petites irritations nasales locales peuvent éventuellement se produire.
Dans un second temps, dans la salle du scanner, 2 litres d’eau sont injectés par la sonde, afin de remplir l’ensemble de l’intestin grêle.
L'aquisition des images au scanner intéresse ensuite l'abdomen et le pelvis après injection de produit de contraste par voie intra-veineuse et d’un anti-spasmodique.
En fin d’examen, la sonde naso-jéjunale est retirée.
Une diarrhée de courte durée peut éventuellement se produire dans les suites de l'exploration.
En cas de problèmes contacter le CENTRE DE RADIOLOGIE DE FONTAINEBLEAU : 01.64.22.28.87.
En dehors des heures ouvrables contacter votre médecin ou le service des urgences.

- Vues : 6659