- 
                
        
        
                        
Infiltrations
Fiches patient:
 fiche info rayonnement ionisantCes examens sont réalisés avec un scanner et/ou sur une table numérisée par capteurs plans voire sous échographie pour les tendons.
Pour les infiltrations sous scanner voir le chapitre correspondant.
(voir ce chapitre , infiltrations sous échographie en bas de l'article)
Votre médecin vous a prescrit une infiltration :
Une infiltration consiste à injecter soit des corticoïdes soit de l'acide hyaluronique directement dans la zone responsable de
vos douleurs ; le repérage radiographique ou scannographique permet de faciliter ce geste et de le rendre plus précis.
Les zones d’injection :
- L’espace articulaire :
o L’espace articulaire est entouré par une gaine synoviale qui fabrique le liquide synovial.
- Les bourses séreuses :
o Ce sont des espaces fermés contenant du liquide synovial dont le but est de faciliter le «glissement» des organes (tendons, muscles) avec l’environnement et en particulier les os.
- Les gaines tendineuses :
o Leur rôle est de réduire la friction des tendons avec les structures environnantes et en particulier osseuses.- Dans les espaces péri-radiculaires au niveau du rachis cervical et lombaire.
 - 
        
        
                        
Infiltrations sous échographie
Infiltrations sous contrôle échographique
 Informations produits de contraste
 Fiches informations infiltrationVotre médecin vous a prescrit une infiltration :
Une infiltration consiste à injecter soit des corticoïdes soit de l'acide hyaluronique directement dans la zone responsable de
vos douleurs.
Les zones d’injection :
- L’espace articulaire :
o L’espace articulaire est entouré par une gaine synoviale qui fabrique le liquide synovial.
- Les bourses séreuses :
o Ce sont des espaces fermés contenant du liquide synovial dont le but est de faciliter le «glissement» des organes (tendons, muscles) avec l’environnement et en particulier les os.
- Les gaines tendineuses :
o Leur rôle est de réduire la friction des tendons avec les structures environnantes et en particulier osseuses.Les produits :
- Injections de cortisoniques :
o C’est la technique traditionnelle.
o Le but est de réduire rapidement et durablement les phénomènes inflammatoires articulaires en injectant un corticoïde directement soit dans l’articulation soit dans la bourse séreuse péri-articulaire soit dans la gaine tendineuse.
- Injections d’acide hyaluronique (visco-supplémentation) :
o Cette technique a été utilisée dans les années 1960 sur les animaux,
o Chez l’homme, la première articulation où cette technique a été pratiquée est le genou dans les années 1970.
o Le but est d’injecter un liquide épais intra-articulaire qui va recouvrir les cartilages d’encroutement et améliorer le « glissement » des surfaces articulaires entre elles.
o Toutes les articulations peuvent recevoir une injection soit de corticoïdes soit d’acide hyaluronique.Apportez le jour de l'examen :
- La demande de votre médecin (ordonnance, lettre…).
- Les résultats des examens de laboratoire qui vous auraient été demandés.
- Le dossier radiologique en votre possession (clichés et comptes-rendus des radiographies, échographies, scanners, IRM).
- La liste écrite des médicaments que vous prenez.Pour l'infiltration :
- A l'exception des médicaments que l'on vous aurait précisément demandé d'arrêter, vous prendrez normalement vos autres traitements.
- Venez de préférence accompagné(e).
- Il ne faut pas être à jeun.
- Pour être plus à l'aise, il est conseillé d'aller aux toilettes avant la ponction.Déroulement de l’examen :
Suivant la zone à infiltrer l’examen sera pratiqué dans une salle de radiologie ou de scanner
Afin d’éviter tout risque infectieux, le médecin et ses collaborateurs porteront un masque.
Le médecin, après avoir mis des gants stériles, fera un nettoyage soigneux de la peau au niveau de la zone où il devra réaliser l’injection.
Si l’examen est réalisé en salle de radiologie, il surveillera la progression de l’aiguille sur un écran de télévision.
Si l’examen est réalisé dans le service du scanner, la progression de l’aiguille et son positionnement correct seront suivis par la réalisation de séries d’images.
Une fois que l’aiguille est en place, le médecin injectera l’anti-inflammatoire. Cette injection pourra être couplée à une injection d’un produit de contraste afin de s’assurer de la diffusion de l’anti-inflammatoire dans la zone responsable de vos douleurs.
Risques :
Toute intervention sur le corps humain, même conduite dans des conditions de compétence et de sécurité maximales, comporte un très faible risque d’infection.
Effets secondaires et incidents :
- Les incidents les plus fréquents sont les malaises vagaux en cours ou au décours immédiat de l’infiltration. Ils sont sans gravité et rapidement résolutifs.
- Des recrudescences douloureuses peuvent survenir les premiers jours et sont contrôlées par des traitements médicamenteux sur quelques jours.
- L’insuffisance surrénalienne est extrêmement rare.Après votre retour à domicile :
Un repos est conseillé pour une meilleure efficacité de l'infiltration dont l'effet ne se manifestera qu'après quelques jours.
En cas de fièvre ou de douleurs importantes dans les jours suivants l'infiltration (possibles signes d'infection), il est important de contacter immédiatement votre médecin ou notre équipe.
En cas de problèmes contacter notre équipe 01 64 22 28 87.
En dehors des heures ouvrables contacter votre médecin ou le service des urgences.
 

1
 
2


3


4
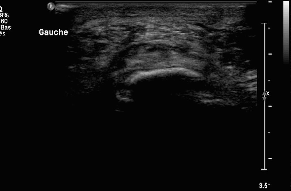
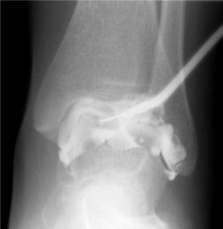
Infiltration d'une bursite calcanéenne sous contrôle échographique image 1
Images 2, 3 et 4 aiguille en place dans la zone hypodense (burste) sous deux incidences orthogonales

1
2
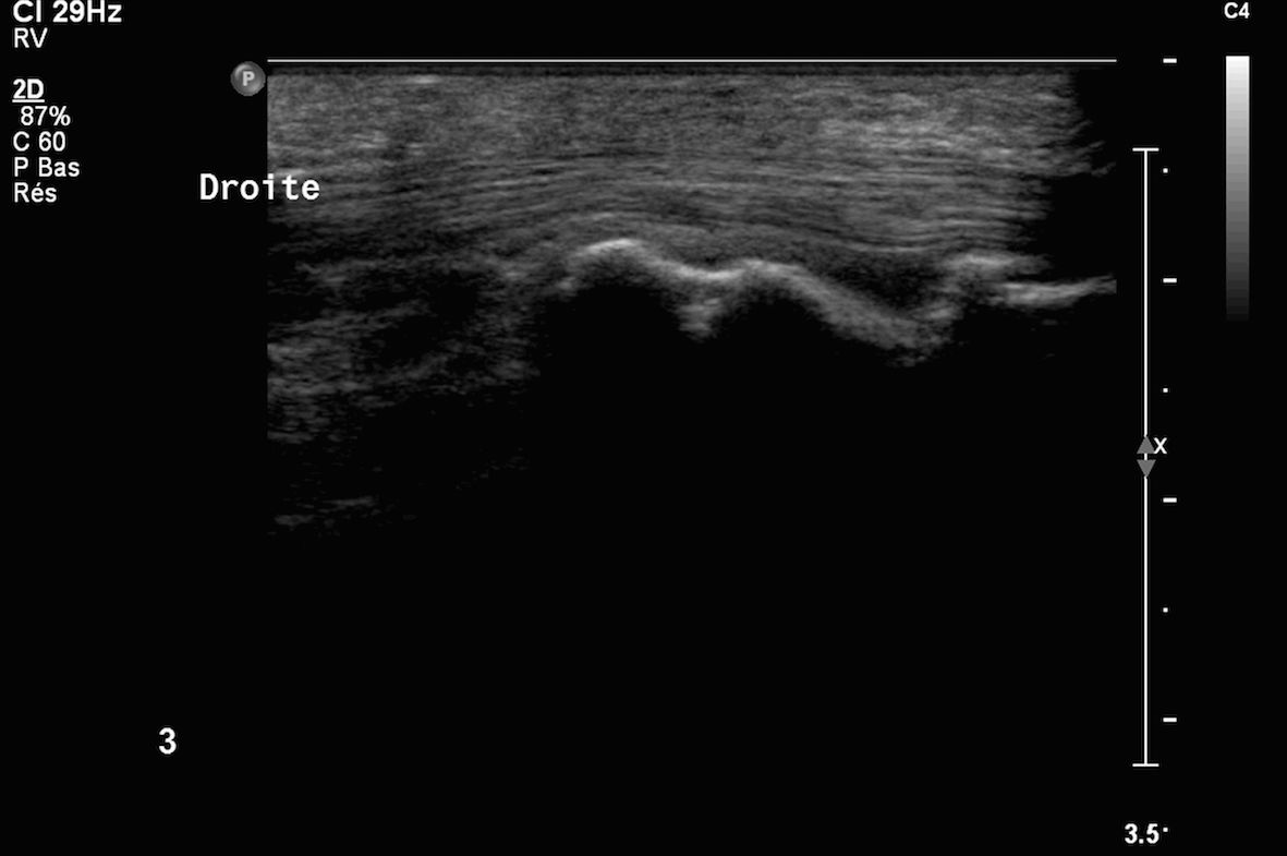
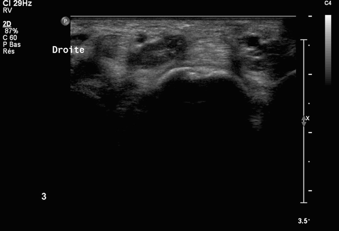
3
4Infiltration du tendon du tendon 3ième fléchisseur de la main (images 1 et 2) sous contrôle échographique
Images 3 et 4 visibilité du produit anti inflammatoire injecté sous deux incidences orthogonales en regard de la gaine péri tendineuse
 - 
                
        
        
                        
Infiltrations sous scanner
 fiche info sur les rayonnements ionisantsCes examens sont réalisés avec un scanner.
Votre médecin vous a prescrit une infiltration :
Une infiltration consiste à injecter soit des corticoïdes soit de l'acide hyaluronique directement dans la zone responsable de
vos douleurs ; le repérage radiographique ou scannographique permet de faciliter ce geste et de le rendre plus précis.
Les zones d’injection :
- L’espace articulaire :
o L’espace articulaire est entouré par une gaine synoviale qui fabrique le liquide synovial.
- Les bourses séreuses :
o Ce sont des espaces fermés contenant du liquide synovial dont le but est de faciliter le «glissement» des organes (tendons, muscles) avec l’environnement et en particulier les os.
- Les gaines tendineuses :
o Leur rôle est de réduire la friction des tendons avec les structures environnantes et en particulier osseuses.- Dans les espaces péri-radiculaires au niveau du rachis cervical et lombaire.
 - 
        
        
                        
Radiologie interventionnelle
Qu'est-ce que la radiologie interventionnelle ? Publié le 23/05/2011, mis à jour le 24/05/2011 par SFR Si la radiologie est indispensable au diagnostic de la plupart des affections médicales, elle permet aussi d'assurer le guidage d'interventions médicales dans des conditions de précision et de sécurité optimales. Le recueil de l'activité des radiologues français par la SFR (Société Française de Radiologie) a montré qu'en 2009, plus de 530 000 actes de radiologie interventionnelle avaient été réalisés et que ce nombre est en augmentation constante. Deux tiers de ces actes sont à visée diagnostique : ce sont les ponctions, biopsies dont le principe est de guider une aiguille par voie percutanée jusqu'à la lésion pour en prélever un fragment pour son analyse. Le guidage par imagerie permet de s'assurer du bon positionnement de l'extrémité de l'aiguille au sein de la lésion et d'éviter les structures dangereuses. Les biopsies sont très bien supportées par les patients, réalisées en ambulatoire et ne nécessitent généralement qu'une simple anesthésie locale car le diamètre de l'aiguille dépasse rarement 2 à 3 mm. La qualité des prélèvements tissulaires est excellente et évite, dans la plupart des cas, le recours à une biopsie chirurgicale ouverte. Toutes les régions du corps humain, en particulier les plus profondes, peuvent bénéficier d'une ponction biopsie et les organes les plus fréquemment intéressés par ces actes sont le sein, la thyroïde, le foie, le rein, le poumon et l'os. Près du tiers des actes de radiologie interventionnelle concerne les interventions à visée thérapeutique guidée par l'imagerie. Une organisation spécifique à cette activité est prévue dans les cabinets et services de radiologie : consultations radiologiques, plages horaires ou équipements dédiés, collaboration avec les anesthésistes réanimateurs, réunions communes de concertation médico-radio-chirurgicales... Le caractère moins agressif de la radiologie interventionnelle (abord percutané, diminution de la durée d'hospitalisation et des séjours en réanimation après intervention) est un autre point favorable mais ne doit pas faire oublier que toutes les interventions doivent être jugées sur leur efficacité avant tout et que la chirurgie reste dans beaucoup de cas le traitement de référence. Outre les infiltrations radio-guidées, les techniques de consolidation du squelette par cimentoplastie et des dérivations (urinaires, biliaires) dont l'efficacité est bien connue, il faut insister sur les avancées dans deux domaines : la radiologie interventionnelle vasculaire et le traitement percutané des cancers. Les désobstructions des rétrécissements des artères périphériques dans les années 80 ont rapidement fait la preuve de leur efficacité (angioplasties, endoprothèses-stents, stent-graft ou endoprothèse couverte) et d'autres spécialistes comme les chirurgiens vasculaires les ont aussi intégrées aux possibilités thérapeutiques. Profitant de cette connaissance de la navigation endovasculaire, des pionniers et, parmi eux, beaucoup de radiologues français très inventifs, ont imaginé dans les années 70, occlure tout ou une partie d'un vaisseau pathologique. L'embolisation était née et, depuis, son développement est permanent avec des matériels de navigation et d'occlusion de plus en plus sûrs en termes de largage et d'efficacité (spires métalliques ou coils puis micro-coils à largage contrôlé, colles bio-compatibles, produits sclérosants et polymères, particules puis micro-particules résorbables ou non et maintenant chargées d'agents de chimiothérapie). L'embolisation à visée hémostatique pour arrêter ou prévenir un saignement, externe ou interne est indiquée en première intention pour les hémorragies traumatiques, les hémorragies de la délivrance qui suivent un accouchement ou les hémorragies méningées par rupture d'anévrysme intra-crânien. Dans tous les cas, le principe est le même avec repérage de la zone de saignement par échographie et scanner, puis accès par navigation endovasculaire par une simple ponction artérielle au pli de l'aine et occlusion de la lésion artérielle pour arrêter le saignement, en conservant la viabilité de l'organe atteint (l'utérus par exemple dans les hémorragies de la délivrance). Les techniques de destruction tumorale percutanée représentent l'innovation la plus récente de la radiologie interventionnelle. Ces techniques sont multiples et si certaines sont encore en cours d'évaluation comme les ultrasons focalisés ou les « micro-ondes », les techniques de thermoablation comme la radiofréquence ou la cryothérapie sont d'utilisation clinique courante. En conclusion, la radiologie interventionnelle et son rôle thérapeutique font du radiologue, non seulement un maillon essentiel du diagnostic, mais aussi un acteur décisif dans le traitement moins invasif de pathologies souvent sévères. Pr Jean-Michel BARTOLI Membre de la Fédération de Radiologie Interventionnelle de la SFR
 
- Vues : 6794
 

